Анатомические и морфологические результаты модифицированной фемтолазерной рефракционной аутокератопластики у пациентов с кератоконусом
- Авторы: Терещенко А.В.1, Демьянченко С.К.1, Тимофеев М.А.1, Ерохина Е.В.1
-
Учреждения:
- Калужский филиал ФГАУ «НМИЦ «МНТК «Микрохирургия глаза» им. академика С.Н. Федорова» Минздрава России
- Выпуск: Том 22, № 2 (2022)
- Страницы: 50-55
- Раздел: ОФТАЛЬМОЛОГИЯ
- Статья опубликована: 15.04.2022
- URL: https://aspvestnik.ru/2410-3764/article/view/108427
- DOI: https://doi.org/10.55531/2072-2354.2022.22.2.50-55
- ID: 108427
Цитировать
Полный текст
Аннотация
Цель – оценить анатомические и морфологические результаты модифицированной фемтолазерной рефракционной аутокератопластики у пациентов с кератоконусом 2 стадии.
Материал и методы. В исследование вошли 24 пациента с диагнозом кератоконус 2 стадии по классификации Amsler – Krumeich. Всем пациентам была проведена фемтолазерная рефракционная аутокератопластика по модифицированной методике.
Результаты. Все пациенты отмечали улучшение зрительных функций уже в первые сутки после проведенной операции. На полученных снимках оптической когерентной томографии отмечался более равномерный задний профиль в центральной зоне роговицы, отсутствие «складчатости» задней поверхности. Характерной особенностью послеоперационного течения явилось изменение глубины передней камеры – отмечалось ее выраженное уменьшение с тенденцией к планомерному увеличению. Через 2 месяца после снятия шовной фиксации глубина передней камеры оставалась стабильной на всем сроке дальнейшего наблюдения. Данные конфокальной микроскопии центральной зоны роговицы через 12 месяцев демонстрировали отсутствие дополнительных (специфических) морфологических изменений в роговице пациентов. Характерные морфологические изменения для кератоконуса оставались прежними, как и до проведения ФРАК.
Заключение. Данная технология обеспечивает запланированный рефракционный эффект. Анатомо-морфологические изменения переднего отрезка глаза в послеоперационном сроке до 1 года постепенно изменяются и приближаются к более физиологическому профилю роговицы, оставаясь стабильными после снятия швов на протяжении всего срока наблюдения. Отсутствие дополнительных специфических морфологических изменений в структуре роговицы свидетельствует о стабильном состоянии эктатического процесса.
Полный текст
Список сокращений
ФРАК – фемтолазерная рефракционная аутокератопластика; OКT – оптическая когерентная томография; НКОЗ – некорригированная острота зрения; МКОЗ – максимально корригированная острота зрения; ИСКП – интрастромальная кератопластика.
АКТУАЛЬНОСТЬ
В 2015 году группа авторов (Г.В. Ситник, Ю.Б. Слонимский, А.Ю. Слонимский) предложила методику фемтолазерной рефракционной аутокератопластики (ФРАК), применяющейся для лечения кератоконуса на 3–4 стадиях [1]. Данная методика представляет собой выполнение циркулярной клиновидной резекции роговичной ткани с последующим сшиванием краев клиновидного реза. Эффект операции достигается за счет уплощения эктазированной роговицы и придания ей более физиологического профиля. Неоспоримыми преимуществами предложенного метода выступают непроникающий характер операции, отсутствие риска развития иммунного конфликта, а также отсутствие необходимости в использовании донорского материала, что является актуальной проблемой роговичной хирургии.
Наш опыт применения ФРАК позволил выявить такой недостаток данного метода, как отсутствие персонализированного расчета параметров фемторезекции с учетом индивидуальных данных кератометрии и биометрии пациента, вследствие чего наблюдается непредсказуемость рефракционного результата операции [2, 3].
Данные наблюдения привели нас к разработке модифицированной методики ФРАК. Сначала была создана специализированная программа ФРАК для фемтолазера FEMTO LDV Z8, давшая возможность проведения двух циркулярных резов в один докинг фемтолазера, что обеспечивает высокую прецизионность выполнения процедуры.
Далее была разработана математическая модель для персонифицированного расчета параметров дозированной фемторезекции при проведении ФРАК, учитывающая высоту и диаметр основания кератоконуса по данным оптической когерентной томографии (OКT) переднего отрезка глаза, а также планируемый радиус кривизны роговицы, соответствующий эмметропической рефракции [4, 5].
Также, анализируя данные, полученные благодаря ОКТ роговицы в раннем послеоперационном периоде, мы фиксировали изменения задней поверхности роговицы в виде волнистости или складчатости в центральной зоне. Это, на наш взгляд, являлось следствием применения узловой шовной фиксации и неравномерного натяжения роговичной ткани, что, безусловно, оказывало негативное влияние на зрительные функции. Необходимость устранения складчатости задней поверхности роговицы привела нас к применению комбинированной шовной фиксации: наложение 16 узловых швов и непрерывного обвивного шва.
ЦЕЛЬ
Оценить анатомические и морфологические результаты модифицированной фемтолазерной рефракционной аутокератопластики у пациентов с кератоконусом 2 стадии.
МАТЕРИАЛ И МЕТОДЫ
В данное исследование вошли 24 пациента, 13 мужчин и 11 женщин, с диагнозом кератоконус 2 стадии по классификации Amsler – Krumeich [6]. Возраст пациентов составил от 25 до 37 (29,6±2,4) лет.
Критериями включения являлись: центральное расположение верхушки конуса по данным кератотопографии и кератопахиметрии; отсутствие прогрессии в течение 2 лет; пахиметрия не меньше 400 мкм в тончайшей зоне; отсутствие стромальных помутнений; непереносимость очковой и контактной коррекции.
До и после хирургического лечения всем пациентам проводились как стандартные – визометрия, кераторефрактометрия, биометрия, тонометрия, биомикроскопия, так и специальные методы исследования – кератотопография, пахиметрия (Pentacam, Oculus, Германия), OКT переднего отрезка глаза (Optovue, США), эндотелиальная микроскопия роговицы (Topcon, Япония), исследование на диагностическом модуле Verion (Alcon, США), лазерная сканирующая конфокальная микроскопия роговицы HRT III-RCM (Heidelberg Engineering, Германия).
До операции средние значения некорригированной остроты зрения (НКОЗ) составили 0,09±0,02, максимально корригированной остроты зрения (МКОЗ) – 0,22±0,03, сферического компонента рефракции – -8,75±1,15, цилиндрического компонента рефракции – -4,87±0,40, толщины роговицы – 434,37±7,80 мкм, кератометрии: К1 – 50,44±0,74 дптр, К2 – 55,27±0,65 дптр, длины глаза – 25,31±0,27 мм.
Учитывая исходные показатели кератотопографии, кератопахиметрии, сферического и цилиндрического компонентов, а также показатели биометрии, которые указывали на заведомо недостаточную эффективность интрастромальной кератопластики (ИСКП) в данной группе, всем пациентам была проведена ФРАК по модифицированной методике (патент РФ на изобретение №2688955, патент РФ на изобретение №2689758) на фемтолазерной установке Femto LDV Z8 (Ziemer, Швейцария).
В ходе ФРАК за один докинг фемтолазера, используя специально созданное совместно с компанией Ziemer для данной операции программное обеспечение, одномоментно выполняли два циркулярных реза роговицы, резецируя из нее кольцевидный лоскут с клиновидным профилем.
После удаления кольцевидного лоскута для более равномерного натяжения роговичной ткани края клиновидного реза роговицы сшивали, используя комбинированную шовную фиксацию: 16 узловых и один тур непрерывного обвивного шва (рисунок 1). Через 12 месяцев после ФРАК швы снимали.
Рисунок 1. Биомикроскопия переднего отрезка глаза пациента через 12 месяцев после ФРАК: комбинированная шовная фиксация, 16 узловых и один тур непрерывного обвивного шва.
Figure 1. Biomicroscopy of the anterior segment of the patient's eye 12 months after FRAK: combined suture fixation, 16 knots and one round of continuous twist suture.
РЕЗУЛЬТАТЫ
Послеоперационный период характеризовался слабовыраженным кратковременным (1–2 дня) корнеальным синдромом, который купировался на фоне противовоспалительной терапии. Все прооперированные пациенты отмечали улучшение зрительных функций уже в первые сутки после проведенной хирургии.
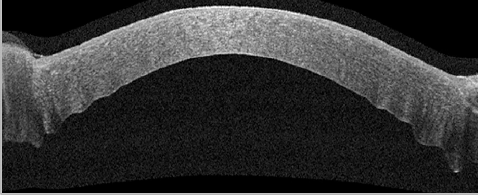
Говоря об анатомо-морфологических особенностях послеоперационных изменений роговицы в результате применения модифицированной методики ФРАК, следует отметить более равномерный задний профиль в центральной зоне роговицы на полученных снимках оптической когерентной томографии, отсутствие «складчатости» задней поверхности. Добавление обвивного шва в сравнении с ранее предложенной методикой ФРАК, где использовали узловые швы (рисунок 2), позволило обеспечить более равномерное натяжение роговичной ткани, тем самым не только избежать «волнистости» заднего профиля роговицы, но и уменьшить послеоперационный астигматизм (рисунок 3).
Рисунок 2. Скан ОКТ переднего отрезка глаза: «волнистость» заднего профиля роговицы (шовная фиксация узловыми швами).
Figure 2. OCT scan of the anterior segment of the eye: "waviness" of the posterior corneal profile (suture fixation with interrupted sutures).
Рисунок 3. Скан ОКТ переднего отрезка глаза: равномерный задний профиль в центральной зоне роговицы (комбинированная шовная фиксация).
Figure 3. OCT scan of the anterior segment of the eye: uniform posterior profile in the central area of the cornea (combined suture fixation).
Характерной особенностью послеоперационного течения у данных пациентов явилось изменение глубины передней камеры. В связи с проведенной в ходе ФРАК резекцией кольцевидного лоскута роговицы и наложения шовной фиксации отмечалось выраженное уменьшение глубины передней камеры за счет ремоделирования роговичного профиля. Данные глубины передней камеры имели тенденцию к планомерному увеличению на протяжении первого года послеоперационного наблюдения, и следует отметить, что через 2 месяца после снятия шовной фиксации глубина передней камеры оставалась стабильной в течение всего срока дальнейшего наблюдения. Изменения профиля роговицы, а также изменения глубины передней камеры (таблица 1) сочетались с выраженным рефракционным гиперметропическим сдвигом в первые месяцы после хирургии (рисунок 4). Вследствие постепенного изменения профиля роговицы к более физиологическому отмечалось и приближение рефракционного компонента к эмметропии.
Таблица 1. Динамика изменения глубины передней камеры на различных сроках наблюдения
Table 1. Dynamics of changes in the depth of the anterior chamber at different observation periods
Глубина передней камеры (мм) | Снятие швов | ||||||
До лечения | 3 сут. | 1 мес. | 3 мес. | 6 мес. | 12 мес. | 14 мес. | 36 мес. |
3,78±0,07 | 2,57±0,07 | 2,92±0,09 | 3,19±0,09 | 3,28±0,08 | 3,35±0,08 | 3,52±0,09 | 3,58±0,16 |
Рисунок 4. Динамика изменения профиля роговицы и глубины передней камеры на различных сроках наблюдения.
Figure 4. Dynamics of changes in the profile of the cornea and the depth of the anterior chamber at different periods of observation.
Данные, полученные с помощью конфокальной микроскопии HRT III+RCM (Heidelberg, Германия) центральной зоны роговицы через 12 месяцев после проведения ФРАК, показал отсутствие дополнительных (специфических) морфологических изменений в роговице пациентов (рисунок 5). Характерные морфологические изменения для кератоконуса оставались прежними, как и до проведения ФРАК.
Рисунок 5. Данные конфокальной микроскопии центральной зоны роговицы через 12 месяцев после проведения ФРАК.
Figure 5. Confocal microscopy data of the central corneal zone 12 months after the FRAK.
При оценке зоны рубца по снимкам оптической когерентной томографии через 12 месяцев определялись формирование клиновидного гиперрефлективного помутнения с распространением в толщу стромы роговицы на 2/3 глубины, выраженное фиброзирование послеоперационного рубца (рисунок 6).
Рисунок 6. ОКТ переднего отрезка глаза через 12 месяцев после модифицированной методики ФРАК: формирование клиновидного гиперрефлективного помутнения с распространением в толщу стромы роговицы на 2/3 глубины, выраженное фиброзирование послеоперационного рубца.
Figure 6. OCT of the anterior segment of the eye 12 months after the modified FRAK technique: the formation of a wedge-shaped hyperreflective opacity with a 2/3 depth spread into the thickness of the corneal stroma, pronounced fibrosis of the postoperative scar.
ОБСУЖДЕНИЕ
Внедрение фемтосекудных лазеров в арсенал офтальмохирургов позволило совершенствовать существующие методы хирургического лечения, а также создать и внедрить в практику новые методы лечения пациентов с кератоконусом. Предложенный метод ФРАК является перспективной технологией в хирургии роговицы при кератоконусе без использования донорского материала.
В Калужском филиале МНТК с 2017 года данная технология была модифицирована и персонифицирована. Стало возможным применение модифицированной методики при начальных стадиях кератоконуса с учетом индивидуальных параметров кератэктазированной роговицы, были сформулированы и определены показания для проведения ФРАК.
Клинико-функциональные результаты модифицированной методики ФРАК показали повышение НКОЗ и МКОЗ, изменение показателей роговицы (кератометрии, радиуса кривизны передней и задней поверхностей) в связи с ремоделированием роговицы уже на ранних послеоперационных сроках, через 2 месяца. После снятия шовной фиксации, в срок 12 месяцев после хирургического лечения, отмечался умеренный миопический сдвиг рефракции в пределах 2 дптр. В последующем данные показатели оставались стабильными на всем сроке наблюдения, в том числе и показатели пахиметрии, что свидетельствовало о стабильном состоянии роговицы [6].
В данной работе нами был проведен анализ анатомо-морфологических результатов модифицированной методики ФРАК у пациентов с 2 стадией кератоконуса в сроки наблюдения 36 месяцев.
Ремоделирование роговицы в ходе ФРАК с учетом индвидуальных параметров эктазированной роговицы у пациентов с кератоконусом позволяло получить в послеоперационном периоде более физиологический профиль роговицы. Изменение параметров глубины передней камеры в течение первого года послеоперационного наблюдения является отличительной особенностью данного метода хирургического лечения. Глубина передней камеры через 2 месяца после снятия швов оставалась стабильной на всем последующем сроке наблюдения. Оценка морфологического состояния роговицы показала отсутствие дополнительных (специфических) изменений во всех слоях роговицы.
Наличие у всех пациентов, вошедших в исследование, выраженного фиброзирования в зоне выполненного в ходе ФРАК фемтолазерного реза свидетельствует об адекватной адаптации краев операционной раны. Комбинированная шовная фиксация позволила не только адекватно сопоставить края образовавшегося после фемторезекции канала, но и обеспечить максимально равномерное натяжение роговичной ткани, тем самым избежать изменений заднего профиля роговицы, а также уменьшить выраженность послеоперационного астигматизма.
Все пациенты данной группы были удовлетворены достигнутой остротой зрения, прогрессирования кератоконуса не было отмечено ни в одном случае.
ЗАКЛЮЧЕНИЕ
Анализ анатомо-морфологических результатов модифицированной методики ФРАК при топографически центрально расположенном кератоконусе показал, что данная технология обеспечивает запланированный рефракционный эффект у пациентов со 2 стадией кератоконуса в течение периода наблюдения 36 месяцев.
Анатомо-морфологические изменения переднего отрезка глаза в послеоперационном сроке до 1 года постепенно изменяются и приближаются к более физиологическому профилю роговицы к сроку 12 месяцев, оставаясь стабильными через 2 месяца после снятия швов.
Отсутствие дополнительных специфических морфологических изменений в структуре роговицы у всех пациентов на всем сроке наблюдения свидетельствует о стабильном состоянии эктатического процесса, что позволило избежать пересадки роговицы.
Конфликт интересов: авторы заявляют об отсутствии конфликта интересов, требующего раскрытия в данной статье.
Об авторах
А. В. Терещенко
Калужский филиал ФГАУ «НМИЦ «МНТК «Микрохирургия глаза» им. академика С.Н. Федорова» Минздрава России
Email: klg@eye-kaluga.com
ORCID iD: 0000-0002-0840-2675
д-р мед. наук, директор Калужского филиала
Россия, КалугаС. К. Демьянченко
Калужский филиал ФГАУ «НМИЦ «МНТК «Микрохирургия глаза» им. академика С.Н. Федорова» Минздрава России
Email: demyan.78@mail.ru
ORCID iD: 0000-0002-0839-2876
канд. мед. наук, заведующий отделением оптико-реконструктивной и рефракционной хирургии
Россия, КалугаМ. А. Тимофеев
Калужский филиал ФГАУ «НМИЦ «МНТК «Микрохирургия глаза» им. академика С.Н. Федорова» Минздрава России
Автор, ответственный за переписку.
Email: tim.m.a@mail.ru
ORCID iD: 0000-0003-2933-2618
врач-офтальмолог
Россия, КалугаЕ. В. Ерохина
Калужский филиал ФГАУ «НМИЦ «МНТК «Микрохирургия глаза» им. академика С.Н. Федорова» Минздрава России
Email: Erohus82@mail.ru
ORCID iD: 0000-0001-7320-9209
заведующая вторым диагностическим отделением
Россия, КалугаСписок литературы
- Sitnik HV, Slonimsky AYu, Slonimsky YuB. Femtolaser refractive autokeratoplastic: first results and prospects. Ophthalmology in Russia. 2015;12(3):22-29. (In Russ.). [Ситник Г.В., Слонимский А.Ю., Слонимский Ю.Б. Фемтолазерная рефракционная аутокератопластика: первые результаты и перспективы. Офтальмология. 2015;12(3):22-29]. doi: 10.18008/1816-5095-2015-3-22-29
- Tereshchenko AV, Trifanenkova IG, Dem'yanchenko SK, et al. Femtosecond laser refractive autokeratoplasty – a personalized approach. Russian Military Medical Academy Reports. 2018;37(2):77-80. (In Russ.). [Терещенко А.В., Трифаненкова И.Г., Демьянченко С.К., и др. Фемтолазерная рефракционная аутокератопластика – персонализированный подход. Известия Российской Военно-медицинской академии. 2018;37(2):77-80]. doi: 10.17816/rmmar14196
- Tereshchenko AV, Trifanenkova IG, Dem'yanchenko SK, et al. Femtolaser refractive autokeratoplasty ”FRAK” – clinical experience. Practical medicine. 2018;3(114):182-186. (In Russ.). [Терещенко А.В., Трифаненкова И.Г., Демьянченко С.К., и др. Фемтолазерная рефракционная аутокератопластика «ФРАК» – опыт клинического применения. Практическая медицина. 2018;3(114):182-186].
- Tereshchenko AV, Trifanenkova IG, Dem'yanchenko SK, et al. Femtolaser refractive autokeratoplasty for keratoconus – the first experience. Sovremennyye tekhnologii v oftal'mologii. 2017;7(20):95-97. (In Russ.). [Терещенко А.В., Трифаненкова И.Г., Демьянченко С.К., и др. Фемтолазерная рефракционная аутокератопластика при кератоконусе – первый опыт. Современные технологии в офтальмологии. 2017;7(20):95-97].
- Timofeyev MA, Tereshchenko AV, Dem'yanchenko SK. Mathematical modeling in the surgical treatment of keratoconus using femtolaser refractive autokeratoplasty. Sovremennyye tekhnologii v oftal'mologii. 2018;4(24):239-241. (In Russ.). [Тимофеев М.А., Терещенко А.В., Демьянченко С.К. Математическое моделирование в хирургическом лечении кератоконуса методом фемтолазерной рефракционной аутокератопластики. Современные технологии в офтальмологии. 2018;4(24):239-241].
- Tereshchenko AV, Dem'yanchenko SK, Timofeyev MA. Clinical and functional results of femtolaser refractive autokeratoplasty using a personalized mathematical model in the surgical treatment of keratoconus. Tochka zreniya: Vostok–Zapad. 2019;1:20-22. (In Russ.). [Терещенко А.В., Демьянченко С.К., Тимофеев М.А. Клинико-функциональные результаты фемтолазерной рефракционной аутокератопластики с использованием персонализированной математической модели в хирургическом лечении кератоконуса. Точка зрения: Восток–Запад. 2019;1:20-22]. doi: 10.25276/2410-1257-2019-1-20-22
Дополнительные файлы









