Talc retinopathy as a result of long-term intravenous drug abuse
- Authors: Matyaeva A.D.1, Slastina K.I.1
-
Affiliations:
- S.N. Fedorov Eye Microsurgery Federal State Institution
- Issue: Vol 23, No 2 (2023)
- Pages: 4-7
- Section: OPHTHALMOLOGY
- Published: 16.06.2023
- URL: https://aspvestnik.ru/2410-3764/article/view/495599
- DOI: https://doi.org/10.55531/2072-2354.2023.23.2.4-7
- ID: 495599
Cite item
Full Text
Abstract
Narcotic substances have a pronounced toxic effect on the entire body and can lead to disability. Despite ongoing efforts to combat drug addiction, in today's society, many drugs are available for potential use. Their destructive action leads to numerous adverse ocular and systemic manifestations. The most frequently, the drug-users are people of working age, in whom visual impairment leads to restrictions on labor and social activities.
The article considers a clinical case of talcum retinopathy, which developed as a result of long-term abuse of intravenous drugs; the ophthalmic manifestations and a possible treatment option are described.
Keywords
Full Text
Список сокращений
ТР – тальковая ретинопатия; ОНМК – острое нарушение мозгового кровообращения; ОКТ – оптическая когерентная томография.
АКТУАЛЬНОСТЬ
Тальковая ретинопатия (ТР) представляет собой поражение сетчатки ишемического характера вследствие эмболизации ретинальных сосудов частицами талька [1].
Впервые ТР была описана в 1972 году у наркоманов, длительно злоупотреблявших внутривенным введением измельченных таблеток риталина (гидро-хлорида метилфенидата) [2]. Пациенты чаще всего не предъявляли специфических жалоб, так как глазные последствия употребления инъекционных наркотиков редки и зачастую упускаются из виду [3].
Тальк – минерал, состоящий из силиката магния, является нерастворимым инертным наполнителем лекарств, принимаемых как перорально, так и внутривенно [4]. Для приготовления внутривенного раствора таблетки предварительно измельчают и растворяют в кипящей воде, после чего неоднородную жидкость пропускают через фильтрующий материал с целью удаления крупных компонентов [3]. Частицы талька размером менее 7 мкм могут попадать, минуя легочное кровообращение, в системный кровоток и накапливаться в различных органах, в том числе в глазу [5].
Возникновение глазных проявлений ТР обусловлено продолжительным нахождением частиц талька в системном кровотоке. Количество кристаллов зависит от объема принимаемого препарата и продолжительности его употребления [2]. Многолетняя внутривенная нагрузка наркотическими веществами может провоцировать разнообразную клиническую картину на глазном дне: от бессимптомной кристаллической ретинопатии до развития неоваскуляризаций и пролифераций в ответ на прогрессирующую ишемию [5, 6].
В литературе найдены единичные случаи наблюдения пациентов с документированными изменениями офтальмоскопической картины и функциональных показателей.
В данной статье нами описан редкий случай тальковой ретинопатии.
КЛИНИЧЕСКИЙ СЛУЧАЙ
В МНТК «Микрохирургия глаза» обратился мужчина 40 лет с жалобами на постепенное снижение зрения обоих глаз. Указанные жалобы наблюдались в течение двух лет.
Из анамнеза известно, что пациент трижды перенес острое нарушение мозгового кровообращения (ОНМК). Впервые к офтальмологу обратился после третьего эпизода ОНМК, когда заметил резкое ухудшение, затуманивание зрения. Тогда был выставлен предварительный диагноз: «Болезнь Илза, субтотальный гемофтальм». Прошел курс консервативного лечения гемофтальма, после которого была выполнена фокальная лазерная коагуляция сетчатки. После лечения наблюдалось улучшение зрения со стабильным эффектом продолжительностью 6 месяцев, однако по прошествии данного периода пациент отмечает постепенное снижение зрения обоих глаз, искривление, нечеткость предметов перед левым глазом.
По данным офтальмологического обследования на момент обращения: острота зрения ОD: 0,5 cyl +0,5 ax 100 = 0,6; OS: 0,4 cyl +0,25 ax 165 = 0,5. Внутриглазное давление: ОD – 12,0 мм рт. ст., OS – 10,0 мм рт. ст. Электрофизиологическое исследование (исследование электрических фосфенов) показало повышение порога электрической чувствительности сетчатки: OD – 72 мкА, OS – 84 мкА, электрическая лабильность (критическая частота исчезновения электрофосфена) зрительного нерва: OD – 40 Гц, OS – 40 Гц. При проведении компьютерной периметрии выявлено концентрическое сужение полей зрения на 10 градусов OU.
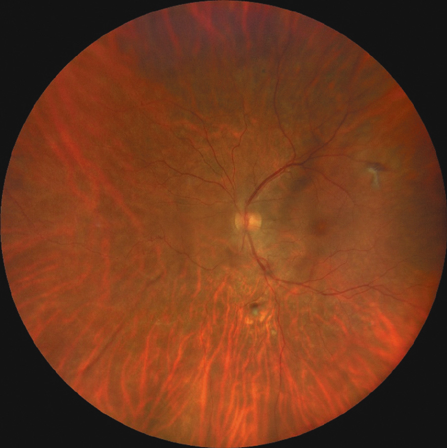
Status oculorum OU: при биомикроскопии передний отрезок и придаточный аппарат обоих глаз без особенностей. В стекловидном теле частичный организовавшийся гемофтальм. На глазном дне: диск зрительного нерва бледно-розовый, границы четкие, артерии сужены, вены расширены, в просвете верхней ветви центральной вены сетчатки и ее ветвей второго порядка желтые, блестящие кристаллические эмболы и следующие за ними запустевшие сосуды, ишемизированные зоны сетчатки и очаги нео- васкуляризации, на периферии сетчатки следы лазерных коагулятов, в макулярной зоне левого глаза – рефлекс стушеван, макулярный отек (рисунки 1, 2).
Рисунок 1. Фото глазного дна правого глаза.
Рисунок 2. Фото глазного дна левого глаза.
По данным ультразвукового исследования (В-скан): OD – оболочки прилежат, в стекловидном теле выраженное количество мелкоточечных помутнений, следы частично организовавшегося гемоф-тальма, ЗОСТ. OS – в стекловидном теле выраженное количество мелкоточечных помутнений, следы частично организовавшегося гемофтальма, ЗОСТ, оболочки прилежат.
Оптическая когерентная томография (ОКТ) макулярной зоны правого глаза показала, что профиль центральной ямки сохранен, имеются зоны эпиретинального фиброза. По ОКТ макулярной зоны левого глаза диагностируется кистозный отек нейросенсорной сетчатки, отслойка нейроэпителия, эпиретинальный фиброз (рисунок 3).
Рисунок 3. Оптическая когерентная томография макулярной зоны.
Пациенту проведена оптическая когерентная томография макулярной зоны в ангио- режиме, по данным которой новообразованных патологических сосудов выявлено не было (рисунки 4, 5).
Рисунок 4. Оптическая когерентная томография макулярной зоны в ангиорежиме правого глаза.
Рисунок 5. Оптическая когерентная томография макулярной зоны в ангиорежиме левого глаза.
ОБСУЖДЕНИЕ
Офтальмоскопическая картина, а именно двусторонние кристаллические эмболы и следующие за ними запустевшие сосуды, позволила судить об окклюзионной этиологии изменений на глазном дне. Мы предположили, что белый материал в сетчатке обоих глаз представляет собой тальк. В ходе углубленного сбора анамнеза пациент признался во внутривенном употреблении толченых наркотических препаратов в течение 10 лет.
Клинические проявления ТР развиваются в результате длительного накопления мелких частиц талька в сосудах сетчатки. На глазном дне обнаруживаются точечные бело-желтые кристаллы в макулярной области, а также по ходу сосудистых аркад [7]. Длительная эмболизация частицами талька вызывает недостаточную перфузию и, как следствие, ишемию сетчатки и активацию процессов неоваскуляризации [2, 7–10].
Диагностика ТР включает прежде всего тщательный сбор анамнеза, а также различные офтальмологические исследования. Непрямая офтальмоскопия позволяет выявить многочисленные кристаллы как в центральной зоне, так и на периферии сетчатки, а также наличие или отсутствие новообразованных сосудов [11]. С помощью ОКТ можно визуализировать в макулярной зоне гиперрефлективные точечные включения внутри перифовеальных артериол, соответствующие мелким кристаллам талька [3, 12].
ЗАКЛЮЧЕНИЕ
Поскольку злоупотребление наркотиками в современном мире стало более распространенным явлением и последствия их приема присутствуют абсолютно во всех системах и органах, офтальмологи должны быть осведомлены о побочных эффектах наркотических веществ в отношении органа зрения. Крайне важно распознавать тальковую ретинопатию, а также проводить дифференциальную диагностику у пациентов с периферической неоваскуляризацией сетчатки без известной системной причины.
Конфликт интересов: авторы заявляют об отсутствии конфликта интересов, требующего раскрытия в данной статье.
About the authors
Angelina D. Matyaeva
S.N. Fedorov Eye Microsurgery Federal State Institution
Email: matyaeva.lina@yandex.ru
ORCID iD: 0000-0001-7543-619X
a resident doctor
Russian Federation, MoscowKseniya I. Slastina
S.N. Fedorov Eye Microsurgery Federal State Institution
Author for correspondence.
Email: docslastina@mail.ru
ORCID iD: 0000-0002-8235-2792
a resident doctor
Russian Federation, MoscowReferences
- Martidis A, Yung CW, Ciulla TA. Talc embolism: a static retinopathy. Am J Ophthalmol. 1997;124(6):841-843. doi: 10.1016/s0002-9394(14)71704-0
- AtLee WE Jr. Talc and cornstarch emboli in eyes of drug abusers. JAMA. 1972;219(1):49-51. PMID: 5066587
- Kim RW, Juzych MS, Eliott D. Ocular manifestations of injection drug use. Infect Dis Clin North Am. 2002;16(3):607-22. doi: 10.1016/s0891-5520(02)00013-2
- Luong PM, Tsui E, Batra NN, Zegans ME. Endogenous endophthalmitis and other ocular manifestations of injection drug use. Curr Opin Ophthalmol. 2019;30(6):506-512. doi: 10.1097/ICU.0000000000000606
- Tarantola R, Reichstein D, Morrison D, Agarwal A. Talc retinopathy presenting as multiple retinal arteriolar occlusions. Retin Cases Brief Rep. 2010;4(2):120-2. doi: 10.1097/ICB.0b013e318196b326
- Soliman MK, Sarwar S, Hanout M, et al. High-resolution adaptive optics findings in talc retinopathy. Int J Retina Vitreous. 2015;1:10. doi: 10.1186/s40942-015-0009-4
- Tran KH, Ilsen PF. Peripheral retinal neovascularization in talc retinopathy. Optometry. 2007;78(8):409-14. doi: 10.1016/j.optm.2007.02.018
- Zoumalan CI, Marmor MF. Revisiting talc retinopathy. Arch Ophthalmol. 2007;125(7):988. doi: 10.1001/archopht.125.7.988
- Ruys J, de Smet MD, Van de Sompel W. Bilateral talc maculopathy and fibrovascular proliferation in a drug abuser. Retin Cases Brief Rep. 2010;4(2):123-4. doi: 10.1097/ICB.0b013e31819bfa57
- El-Jabali F, Cohen S. Images in clinical medicine. Talc retinopathy. N Engl J Med. 2006;354(12):e11. doi: 10.1056/NEJMicm050711
- Li J, Tripathi RC, Tripathi BJ. Drug-induced ocular disorders. Drug Saf. 2008;31(2):127-41. doi: 10.2165/00002018-200831020-00003
- Bagheri N, Shahlaee A, Sridhar J, Ho AC. En face optical coherence tomography and angiography of talc retinopathy. Acta Ophthalmol. 2016;94(1):103-4. doi: 10.1111/aos.12814
Supplementary files








