Evaluation of the development state of the dento-facial system of the fetus according to data of prenatal ultrasonic screening in the second and third trimester of pregnancy
- Authors: Postnikov M.A.1,2, Balter R.B.1, Tshelkovich L.S.1, Dufinets I.E.1,2
-
Affiliations:
- Samara State Medical University
- Postnikov’s Multidisciplinary Clinic
- Issue: Vol 20, No 5-6 (2020)
- Pages: 31-36
- Section: Clinical Medicine
- Published: 15.07.2020
- URL: https://aspvestnik.ru/2410-3764/article/view/84456
- DOI: https://doi.org/10.17816/2072-2354.2020.20.3.31-36
- ID: 84456
Cite item
Full Text
Abstract
The article is devoted to the current methods of diagnostics of the dental system of a pregnant woman’s fetus. The use of three-dimensional ultrasonography in pregnant women based on prenatal ultrasound screening opens up new opportunities for preventing serious maxillofacial deformities. The results of our own research allowed us to establish the links and quantitative dependencies for identifying malocclusion risk groups. Literature data on the use of fetal ultrasound diagnostics to assess the state of the fetal dental system are analyzed.
Full Text
За последнее десятилетие, по мнению отечественных и зарубежных ученых, сопутствующие экстрагенитальные патологии встречаются у 60–80 % беременных [1, 4] (рис. 1).
Рис. 1. Частота сопутствующей соматической патологии у беременных / Fig. 1. Frequency of concomitant somatic pathology in pregnant women
Состояние здоровья женщины во время беременности влияет на внутриутробные процессы минерализации эмали временных зубов у плода: при осложненном течении беременности обызвествление эмали замедляется, а в отдельных случаях и приостанавливается на начальном этапе [3, 4, 5].
В настоящее время профилактика врожденных аномалий челюстно-лицевой области — это своевременная диагностика [2]. Применение трехмерной ультразвуковой диагностики плода беременной женщины открывает новые возможности для предотвращения серьезных челюстно-лицевых деформаций, поскольку самый важный период в формировании зубочелюстной системы — внутриутробный (рис. 2).
Рис. 2. Дефект верхнего нёба. Порок развития плода / Fig. 2. Upper palate defect. Malformation of the fetus
В связи с вышеуказанными литературными данными о высоких показателях заболеваемости во время беременности фактор влияния здоровья женщины на закладку зубов плода становится особенно актуальным [1].
Кроме закладки зубов у эмбриона начинают интенсивно развиваться челюсти. В период второго триместра нижняя челюсть более развита, поэтому находится в мезиальном положении — значительное выдвижение вперед нижней челюстной дуги. В период третьего триместра у эмбриона формируется твердое нёбо, что влияет и на соотношение челюстных дуг — верхняя челюсть преобладает над нижней (прогнатическое соотношение или младенческая ретрогения) [10, 12]. Это соотношение считается правильным, сохраняется после рождения малыша и исправляется благодаря последующему физиологическому функциональному развитию костей черепа и лицевых мышц. Именно в этот период, начиная с 20-й недели беременности, могут способствовать нарушению закладки зубов болезни, перенесенные матерью во время беременности: токсикоз, экстрагенитальные заболевания, а также угроза невынашивания и неблагоприятный акушерско-гинекологический анамнез [1, 5, 7].
Цель исследования — повышение эффективности оценки состояния зубочелюстно-лицевой системы плода с применением 3D/4D-ультразвуковой диагностики по данным пренатального ультразвукового скрининга.
Задачи исследования:
- Оценить возможность и качество визуализации зачатков зубов с использованием трехмерной ультрасонографии у беременных по данным пренатального ультразвукового скрининга.
- Сопоставить показатели линейных параметров длины, ширины верхней и нижней челюстей плода с бипариетальным размером, длиной бедренной кости и окружностью живота.
- Проанализировать параметры длины, ширины верхней и нижней челюстей с помощью индексов для выявления нарушений в развитии зубочелюстной системы, приведенных в литературных источниках.
Материалы и методы
Для достижения поставленной цели обследовано 18 женщин в возрасте от 18 до 39 лет (средний возраст — 29,4 года) с физиологически развивающейся одноплодной беременностью. Рассмотрены данные пренатального ультразвукового скрининга в третьем триместре.
Цель 3D-ультразвукового исследования состоит в создании объемного изображения в отличие от двухмерного метода, создающего плоскостные сечения [6, 11]. Объемная картина получается при сканировании смежных сечений — это объем пространства пирамидальной формы (рис. 3, 4).
Рис. 3. Плод, 31 неделя, 3D-ультразвуковое исследование / Fig. 3. Fetus, 31 weeks, 3D
Рис. 4. Плод, 32 недели, 3D-ультразвуковое исследование / Fig. 4. Fetus, 32 weeks, 3D
Время сканирования в среднем составляет от 3 до 10 с в зависимости от важности объемной информации и требуемого качества изображения.
Объемные данные получают в нескольких возможных режимах:
- поверхностном — этот режим имеет особое значение для исследования лица и конечностей плода;
- рентгеновском — происходит сквозное сканирование объема в исследуемом блоке, после чего информация преобразуется в плоскостную, как это происходит при рентгенологическом исследовании;
- объемном — можно выбрать, например, только эхосигналы от наиболее плотных структур, чтобы визуализировать кости. В то же время можно получить изображение только анэхогенных участков для исследования жидкостных образований;
- получение изображения сосудистого дерева — стало возможным, когда при построении объемной картины применяется цветное допплеровское картирование [4, 8].
С использованием корреляционно-регрессионного анализа устанавливались количественные зависимости измерений основных размеров тела плода (бипариетальный размер, длина бедра, окружность живота) и дополнительных (длина, ширина верхней и нижней челюстей) с нахождением уравнений линейной регрессии, коэффициентов корреляции и детерминации.
Уравнение регрессии дополнялось показателем тесноты связи. При использовании линейной регрессии таким показателем был линейный коэффициент корреляции. Данный коэффициент определялся по формуле:
где σx и σy — среднее квадратическое отклонение x и y соответственно, b — угловой коэффициент или градиент оцененной линии, представляющий собой величину, на которую в среднем увеличивается y, если мы увеличиваем x на одну единицу.
Линейный коэффициент корреляции находился в следующих пределах: –1 ≤ rxy ≤ 1. Знак коэффициента регрессии определял знак коэффициента корреляции. Если b < 0, тогда –1 ≤ rxy ≤ 0, и наоборот, если b > 0, тогда 0 ≤ rxy ≤ 1.
Для оценки качества подбора линейного уравнения регрессии определяли также квадрат коэффициента корреляции, называемый коэффициентом детерминации R2 = (rxy)2. Он отражает долю вариации результативного признака, объясненную с помощью уравнения регрессии:
.
Следовательно, величина (1 – R2) характеризует долю вариации, или долю дисперсии, результата у, вызванную влиянием всех остальных, не учтенных в модели факторов. Значения коэффициента детерминации изменялись от нуля до единицы (0 ≤ R2 ≤ 1).
Измерение соотношения ширины нижней челюсти и ширины верхней челюсти производилось в осевом положении на уровне альвеолярного отростка 10 мм кзади от передней костной границы (рис. 5, 6). Среднее значение этого коэффициента равно 1,02 ± 0,12 (SD), следовательно, коэффициент меньше 0,78.
Рис. 5. Длина нижней челюсти / Fig. 5. Length of the lower jaw
Рис. 6. Длина верхней челюсти / Fig. 6. Length of the upper jaw
Оценка развития челюстей также оценивалась по длине нижней челюсти — длина нижней челюсти в соотношении с биометрией плода (длиной бедренной кости). При измерении длины нижней челюсти проксимальным ориентиром становился височно-нижнечелюстной сустав. Увеличение длины нижней челюсти соотносится с увеличением срока гестации от 20 мм в 20 недель до 37 мм в 28 недель.
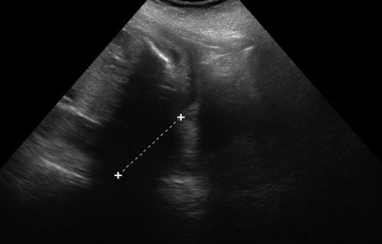
Челюстной индекс рассчитывался после измерения переднезаднего диаметра нижней челюсти плода в осевой плоскости в соотношении с бипариетальным размером (рис. 7). Данный индекс не зависел от срока гестации.
Рис. 7. Переднезадний диаметр нижней челюсти плода / Fig. 7. Anteroposterior diameter of the lower jaw of the fetus
Результаты и их обсуждение
На полученных сонограммах у 15 беременных визуализировались все 20 зубных зачатков. Лицо плода помещалось на экран таким образом, чтобы можно было вывести профиль, а сдвиг и вращение изображения давали возможность осмотра верхней и нижней челюсти (рис. 8, 9). У трех беременных визуализация была затруднена. С использованием плоскостей сканирования, оптимизированных для исследования конкретного органа, осуществлялась визуализация нижней челюсти целиком, включая сочленение с верхней челюстью.
Рис. 8. Лицо плода / Fig. 8. Fetal face
Рис. 9. Зубные зачатки / Fig. 9. Dental rudiments
В третьем триместре беременности у плодов между основными размерами тела плода (бипариетальный размер, длина бедра, окружность живота) и дополнительными (длина и ширина верхней и нижней челюсти) имеются прямые сильные связи и количественные зависимости, описываемые уравнениями линейной регрессии с высокими значениями коэффициентов детерминации. Бипариетальный размер имеет высокие корреляции как с длиной нижней челюсти (R = 0,845; R2 = 0,713), так и с длиной бедренной кости [коэффициенты корреляции (R) = 0,839; коэффициенты детерминации (R2) = 0,704]. Для длины верхней челюсти соответствующие коэффициенты корреляции составили 0,691 (R2 = 0,477) и 0,656 (R2 = 0,430). С помощью регрессионного анализа были получены оценки длины нижней и верхней челюстей в зависимости от бипариетального размера и длины бедренной кости. Среднее соотношение было 0,628 ± 0,043.
Полученные нами результаты подтверждают и дополняют данные J. Neuschulz и соавт. [9], изучавших соотношение челюстей и бипариетального размера плода в соответствии со сроком гестации. При использовании значения отсечения в виде 23 мм (2 SD ниже среднего) чувствительность и специфичность составили 100 и 98 % соответственно. Положительная прогностическая ценность для прогнозирования микрогнатии составила 69 %, а отрицательное прогностическое значение — 100 %. Среднее значение переднезадней и аксиальной части нижней челюсти на 18-й неделе беременности составило 19 ± 2,3 (SD) мм и 13 ± 1,2 (SD) мм соответственно, а на 28-й неделе беременности — 35 ± 2,8 (SD) мм и 27 ± 2,3 (SD) мм соответственно.
Выводы
- В третьем триместре беременности, по данным 3D/4D-пренатального ультразвукового скрининга, имеется возможность получения качественного изображения, с помощью которого можно достоверно оценить состояние закладки зубных зачатков плода.
- Сопоставление показателей основных размеров тела плода (бипариетальный размер, длина бедра, окружность живота) и дополнительных (длина и ширина верхней и нижней челюстей) позволило установить связи и количественные зависимости, перспективные для определения под наблюдением врача-ортодонта молочного прикуса с начала его формирования.
- Соотношение длины и ширины верхней и нижней челюстей плода может быть объективно оценено с помощью индексов. Применение данной методики может быть использовано в качестве надежного метода пренатального скрининга челюстей для выявления групп риска по формированию неправильного прикуса в будущем.
Авторы заявляют об отсутствии конфликта интересов.
About the authors
Mikhail A. Postnikov
Samara State Medical University; Postnikov’s Multidisciplinary Clinic
Author for correspondence.
Email: postnikovortho@yandex.ru
Doctor of Medical Sciences, Department of Dentistry
Russian Federation, Samara; SamaraRegina B. Balter
Samara State Medical University
Email: samaraobsgyn2@yandex.ru
Doctor of Medical Sciences, Professor of the Obstetrics and Gynecology Department No. 2
Russian Federation, SamaraLudmila S. Tshelkovich
Samara State Medical University
Email: samaraobsgyn2@yandex.ru
Doctor of Medical Sciences, Professor of the Obstetrics and Gynecology Department No. 1
Russian Federation, SamaraIrina E. Dufinets
Samara State Medical University; Postnikov’s Multidisciplinary Clinic
Email: i.e.dufinets@samsmu.ru
Candidate of Medical Sciences, Teaching assistant of Obstetrics and Gynecology Department No. 2
Russian Federation, Samara; SamaraReferences
- Акушерство: национальное руководство / под ред. Г.М. Савельевой, Г.Т. Сухих, В.Н. Серова, В.Е. Радзинского. – 2-е изд., перераб. и доп. – М.: ГЭОТАР-Медиа, 2018. – 1088 с. (Серия «Национальные руководства»). [Akusherstvo: nacional’noe rukovodstvo. Ed. by G.M. Savel’yeva, G.T. Sukhikh, V.N. Serov, V.E. Radzinskiy. 2nd ed., revised and updated. Moscow: GEOTAR-Media; 2018. 1088 р. (In Russ.)]
- Серегин А.С., Беланов Г.Н., Ногина Н.В. и др. Врожденная расщелина верхней губы и неба: учебное пособие. – Самара: Слово, 2020. – 152 с. [Seregin AS, Belanov GN, Nogina NV, et al. Vrozhdennaya rasshchelina verhnej guby i neba: uchebnoe posobie. Samara: Slovo; 2020. 152 p. (In Russ.)]
- Карпов А.Н., Постников М.А., Степанов Г.В. Ортодонтия: учебник. – Самара: Право, 2020. – 319 с. [Karpov AN, Postnikov MA, Stepanov GV. Orthodontics: textbook. Samara: Pravo; 2020. 319 p. (In Russ.)]
- Пренатальная эхография / под ред. М.В. Медведева. – М.: Реальное время, 2005. – 560 c. [Prenatal echography. Ed. by M.V. Medvedev. Moscow: Real’noe vremya; 2005. 560 p. (In Russ.)]
- Радзинский В.Е. Прегравидарная подготовка: клинический протокол. – М.: StatusPraesens, 2016. – 80 с. [Radzinskiy VE. Pregravidarnaya podgotovka: klinicheskiy protokol. Moscow: Status Praesens; 2016. 80 p. (In Russ.)]
- Luedders D, Bohlmann M, Germer U, et al. Fetal micrognathia: objective assessment and associated anomalies on prenatal sonogram. Prenat Diagn. 2011;(31):146–151. https://doi.org/ 10.1002/pd.2661.
- Micrognathia – The Fetal Medicine Foundation, UK, 2019. Available from: https://fetalmedicine.org/education/fetal-abnormalities/face/micrognathia.
- Nemec U, Nemec SF, Brugger PC, et al. Normal mandibular growth and diagnosis of micrognathia at prenatal MRI. Prenat Diagn. 2015;35(2):108–116. https://doi.org/ 10.1002/pd.4496.
- Neuschulz J, Wilhelm L, Christ H, et al. Prenatal indices for mandibular retrognathia/micrognathia. J Orofac Orthop. 2015;(76):30–40. https://doi.org/10.1007/s00056-014-0257-1.
- Suenaga M, Hidaka N, Kido S, et al. Successful exutero in trapartum treatment procedure for prenatally diagnosed severe micrognathia: Acasereport. J Obstet Gynaecol Res. 2014;40(8):2005–2009. https://doi.org/ 10.1111/jog.12423.
- Sepulveda W, Wong AE, Vinals F, et al. Absent mandibular gap in the retronasal triangle view: A clue to the diagnosis of micrognathia in the first trimester. Ultrasound Obstet Gynecol. 2012;(39):152–156. https://doi.org/10.1002/uog.10121.
- Wu J, Yin N. Detailed anatomy of the nasolabial muscle in human fetus as determined by micro-CT combined with iodine staining. Ann Plast Surg. 2016;76(1):111–116. https://doi.org/ 0.1097/SAP.0000000000000219.
Supplementary files












