Sequestrectomy in osteonecrosis of the jaws caused by using of the desomorphin
- Authors: Antakov G.I.1, Shtraube G.I.1, Boev I.A.1
-
Affiliations:
- Academician E.A. Wagner Perm State Medical University
- Issue: Vol 20, No 5-6 (2020)
- Pages: 68-75
- Section: Clinical Medicine
- Published: 15.07.2020
- URL: https://aspvestnik.ru/2410-3764/article/view/84469
- ID: 84469
Cite item
Abstract
The purpose of our study was to investigate the characteristics of sequestration, to determine the indications for sequestrectomy and the specificity of this surgical intervention in patients with osteonecrosis of the jaw bones, the results of surgical treatment were also evaluated. A retrospective study of 45 patients with osteonecrosis of the jaws aged from 20 to 47 years, observed in the dental clinic of PSMU from 2012 to 2019, including 29 men and 16 women, was conducted. Of these, 19 patients had osteonecrosis of the lower jaw and 8 suffered from osteonecrosis of the upper jaw. They were operated on and sparing sequestrectomy was performed. The early postoperative period was characterized by satisfactory healing: there was no purulent exudation, wound healing was accompanied by the formation of pink granulations in the area of the defect. After the surgery patients almost did not complain of pain and discomfort. Subsequently (averagely 10 days later), marginal epithelialization of the defect was noted. Functional disorders (restriction of mouth opening, dysfunction of swallowing, speech and eating) were not identified. The state of postoperative defects was assessed 3 and 6 months later. Relapse of the disease is not marked. The subjects were sent to an orthopedic dentist to manufacture complex dental-maxillary prosthesis in order to replace the resulting jaw defect and subsequent rehabilitation. The obtained favourable results after sparing sequestrectomy allow to introduce this technique into the list of standard treatment modalities for this group of patients and recommend it as the method of choice for the surgical treatment of osteonecrosis upon condition of complete sequestration.
Keywords
Full Text
Introduction
Jaw osteonecrosis has been known since the XVIII century and was described as an occupational disease in match production that is associated with the toxic effects of red phosphorus. Until the end of the XX century, such cases were very rare. In the XXI century, red phosphorus is started to be used in the production of codeine-containing narcotic drug desomorphine, which became widely used. Therefore, a significantly increasedincidence of jaw osteonecrosis was registered.Desomorphine drug consumption was first detected in the Russian Federation in 2004 [7]. Later, some drug users complained of tooth loosening and loss, bone exposure, and formation of perignathic fistulas. Since then, numerous researchers have started to analyze the clinical presentation, diagnostics, and treatment of desomorphine osteonecrosis. The relative simplicity and low cost in the manufacture of desomorphine make it one of the most popular narcotic drugs among social risk groups. This could trigger a new wave of desomorphine drug use and cause an increased incidence of jaw osteonecrosis, despite the active struggle of the internal affairs bodies against desomorphine drug use in 2014–2015. Currently, cases of seeking medical help due to osteonecrosis have become quite rare. Despite this, further comprehensive study of this pathology is required, since the disease has been underinvestigated and consensus among researchers is not reached about its treatment approaches. In addition, osteonecrosis is similar in many aspects to drug-induced osteonecrosis arising from the intake of bisphosphonates, which are widely prescribed for osteoporosis and oncology.
The pathogenesis of osteonecrosis is underinvestigated. According to A.A. Ivaschenko [1], phosphorus blocks the differentiation of osteoblasts and enhances apoptosis, thus resulting in a deep suppression of bone tissue metabolism. Other scientists associate the pathological effect with the action of ephedrine, which is contained in a significant amount in this drug [3]. The clinical presentation of the disease has its characteristics. V.A. Malanchuk et al. [4] noted that osteonecrosis is characterized by a severe and atypical course of the pathological process, which occupies more than one zone of the jaw at the same time, as well as a rapid spread of inflammation to previously intact areas of the jaw, a hypoergic type of general reaction with a flaccid clinical course, a discrepancy between the visible boundaries of jaw necrosis and its real lesion, nagging pain, significant suppuration from fistulas, prolonged intoxication, and the occurrence of relapses even after radical surgical interventions. The standard of treatment of osteonecrosis adopted in 2006 and approved by the Ministry of Health of the Russian Federation does not provide information on the surgical treatment of the jawbones; therefore, standardized methods of surgical treatment of this pathology are still unavailable. Both conservative and radical techniques are effective only in some cases due to a high probability of disease relapse or the development of sepsis. In addition, radical surgeries do not always guarantee the patient’s cure and, quite often, result in severe functional disorders in the maxillofacial region. Yu.A. Medvedev is one of the authors who recommend radical techniques (jaw resection with replacement of the defect with an endoprosthesis). During the surgical treatment, the author proposed to recede from the visually altered bone by 1–1.5 cm [5]. However, the indicated treatment approach is not always effective since the simultaneous replacement of the defect with an endoprosthesis in the presence of active inflammation often leads to purulent-septic complications in the postoperative period. E.V. Urakova and O.V. Nesterov [6] also performed a radical surgical treatment. Concurrently, a lethal outcome due to sepsis and multiple organ failure was recorded in 18.5% of all patients who are hospitalized and treated with this pathology. Thus, radical surgery may not always be the method of choice for osteonecrosis. In addition, further study and substantiate alternative is required, with more sparing methods of surgical treatment of this pathology.
The study aimed to analyze the aspects of sequestration and describe the technique of sequestrectomy in these groups of patients and evaluate the results of the performed surgical interventions.
Materials and methods
A retrospective study was performed on 45 patients (29 males and 16 females) aged 20–47 years with jaw osteonecrosis, who were registered in the dental clinic of the Perm State Medical University from 2012 to 2019. All patients had a history of desomorphine intake for 1 year before the disease onset. During the hospitalization, several clinical (survey, examination, palpation, and consultations of allied health professions) and instrumental studies (orthopantomography [OPTG], cone-beam computed tomography [CBCT]), laboratory tests (general clinical blood and urine tests, blood biochemical parameters, coagulogram, enzyme-linked immunosorbent assay of the blood for viral hepatitis B and C and human immunodeficiency virus (HIV), electrocardiogram, rapid plasma reagin to syphilis, and bacteriological examination of areas of osteonecrosis and discharge of fistulous tracts). These studies gave an idea of the nature of the course of osteonecrosis and the presence of sequestration. The somatic status of patients revealed the presence or absence of contraindications to surgical treatment. All patients underwent an assessment of the oral cavity state. The hygienic state of the oral cavity was assessed as unsatisfactory in all patients, as in the area of the necks of the preserved teeth, a large amount of soft and hard dental tartar, a lot of pigmented tooth roots, and generalized gingivitis were observed. The patients examined had not previously applied to the dentist for oral cavity sanitation and prosthetics, and therefore the assessment of the occlusion was not possible. The presence of sequestration in the participants was determined by clinical and radiological signs. Only 5 patients showed clinical signs of the complete formation of sequestrates (movable fragments of exposed necrotic bone). In the remaining 40 participants, the presence of sequestration was determined by the X-ray image. To determine the indications for sequestrectomy, the patients were distributed into two groups. Group 1 (18 patients, including 13 males and 5 females), was characterized by the absence of signs of sequestration. These patients, according to the OPTG and CBCT of the jaws, had no demarcation line between the affected and healthy bone. In this regard, it was rather problematic to estimate the volume of necrotic bone tissue. In this group of participants, sequestrectomy was not indicated, and courses of anti-inflammatory therapy were performed (broad-spectrum antibacterial drugs with an osteotropic effect [doxycycline, clindamycin, and lincomycin] for 3–4 weeks, as well as NSAIDs of the latest generations [Nimesil, Xefocam, and Dexalgin] for up to 10 days). In the development of purulent-inflammatory processes of the perignathic soft tissues in these patients, the treatment of complications of osteonecrosis was performed. Subsequently, these patients were monitored on an outpatient basis until the sequestration was complete.
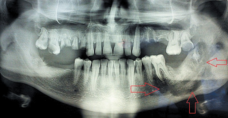
Group 2 (27 patients, including 16 males and 11 females) was characterized by the presence of the signs of sequestration, as a clear demarcation line was found according to OPTG and CBCT of the jaws (Fig. 1).
Fig. 1. Osteonecrosis of the mandible on the left side. The appearance of the demarcation line / Рис. 1. Остеонекроз нижней челюсти слева. Появление демаркационной линии
In addition, the sizes of sequesters varied from an isolated area of the alveolar process within 2–3 teeth to damage in half of the jaw and more. A characteristic was identified in 10 patients with a full-width mandibular lesion. A pronounced thickening and ossification of the surrounding periosteum were found in the form of stratification with the formation of a “bone sheath” surrounding the formed sequestrum, with a width of 5 mm to 1.2 cm (Fig. 2).
Fig. 2. The appearance of the line of ossification of the periosteum in the lesion area along the lower edge of the mandible, creating a “frame” of the newly formed bone / Рис. 2. Возникновение контура оссификации периоста в зоне поражения по нижнему краю нижней челюсти, создающее «каркас» из новообразованной кости
All patients from this group underwent sequestrectomy, which had characteristics that are contrary to the technique used in the treatment of odontogenic osteomyelitis. Indications for local anesthesia have been expanded due to the severe comorbidities in most patients that increase the risk of anesthetic support (chronic viral hepatitis, HIV infection in the acquired immunodeficiency syndrome stage, and chronic inflammatory lung diseases). Additional oral cavity incisions, cutting out the mucoperiosteal flaps, suturing the postoperative defects, and other manipulations that lead to oral mucosa trauma were minimized to prevent the further spread of the necrotic process. The surgical intervention involved the isolation and removal of the sequestrum, as well as the curettage of the surrounding granulation tissue. However, unlike the typical sequestrectomy technique, the mechanical treatment of the sequestral cavity walls due to bleeding and intact bone was not performed since this stage could cause a relapse and further spread of the necrotic process. The postoperative defect was plugged with iodoform turunda until healing signs of the defect by secondary intention occurred (Fig. 3).
Fig. 3. A sparing sequestrectomy. The postoperative defect is plugged with iodoformturunda / Рис. 3. Щадящая секвестрэктомия. Тампонирование послеоперационного дефекта йодоформной турундой
Thus, this technique of sequestrectomy is called sparing. The advantage of this technique includes the reduction of the risk of osteonecrosis recurrence. Further, the short-term and long-term results of surgical treatment were analyzed.
Results and discussion
The surgery was performed in 19 patients (including 11 males and 8 females) with lower jaw osteonecrosis. They underwent a sparing sequestrectomy using the method described above. The width of the mandibular defect after sequestrectomy varied from one segment to extensive lesions including the body, angle, and ramus of the mandible. The early postoperative period was characterized by satisfactory healing, without purulent exudation, and wound healing with the formation of pink granulations in the defect area (Fig. 4).
Fig. 4. An early postoperative period. The granulation of defect walls / Рис. 4. Ранний послеоперационный период. Гранулирование стенок дефекта
Postoperatively, patients almost did not complain of soreness and impaired well-being. Subsequently, after 7–14 days (on average 10 ± 1 days), marginal epithelialization of the defect was noted, and patients were discharged with improvement for outpatient treatment. No functional impairments (restriction of mouth opening, impaired swallowing, speech, and food intake) in 10 patients, including a lesion zone for the entire thickness of the lower jaw, were revealed since a dense “sheath” of the ossified periosteum that surrounds the affected part of the lower jaw was formed in this group of patients during the sequestration period, which caused the formation of a strong frame and the lack of mobility of the affected jaw fragments after surgery (Fig. 5).
Fig. 5. A newly formed bone along the lower edge of the mandible prevented the displacement of fragments after sequestrectomy / Рис. 5. Новообразованная кость по нижнему краю нижней челюсти предупредила смещение фрагментов после проведения секвестрэктомии
This prevented the dislocation asphyxia and lower jaw deformation, as well as the emergence of functional disorders in the maxillofacial region. The shape of the jaw was preserved, and therefore the replacement of the postoperative defect with implant materials was not indicated. This avoided the additional stages of the surgery and accelerated the defect epithelialization. In addition, the occurrence of pathological fractures was not registered in the postoperative period. Complete epithelialization of the defect walls occurred on days 12–39 from the surgery (on average of 21 ± 1 days) and depended on the size of the removed sequestrum (Fig. 6)
Fig. 6. The epithelization of the walls of the postoperative defect / Рис. 6. Эпителизация стенок послеоперационного дефекта
Moreover, late complications and recurrence of osteonecrosis in the operated area of the jaw did not occur. Concurrently, the necrotic process in these areas continued in cases with simultaneous osteonecrosis in several areas with incomplete sequestration.
The state of postoperative defects was assessed at 3 and 6 months postoperative. Complete epithelialization and scarring of the defect were registered in 12 (63%) patients within 6 months. Given the absence of the alveolar part and the body of the lower jaw, patients were referred for complex dentoalveolar prosthetics to an orthopedic dentist and subsequent rehabilitation. Patients were given recommendations on the regime of work and rest, as well as rational nutrition, and were referred to the dispensary registration with a narcologist and periodic examinations by a dental surgeon once in 6 months with control X-rays of the jaws over time once annually. Assessment of the healing quality was impossible in the remaining 7 participants since they did not visit for a control examination.
An upper jaw lesion with the formation of a demarcation line was observed in 8 participants (5 males and 3 females). Due to the anatomical features, upper jaw sequestration occurred earlier than in the lower jaw (on average, 13 ± 1 weeks). The timing depended on the extent of the lesion in the maxilla. The formation of the demarcation line increased up to 3 years in the case of total upper jaw damage that involve the adjacent areas of the zygomatic bone (Fig. 7).
Fig. 7. The sequestration in the maxilla with involvement of the zygomatic bone / Рис. 7. Секвестр в области верхней челюсти с вовлечением участка тела скуловой кости
The sequestration time was reduced to 6 weeks with a limited lesion of a part of the alveolar process within 2 or 3 teeth. A characteristic aspect of maxilla osteonecrosis was the involvement of the maxillary sinus in the purulent-inflammatory process. The development of maxillary sinusitis was noted in 5 out of 8 participants. Thus, sequestrectomy in this group of patients was combined with sinusotomy. It should be noted that in 2 patients with extensive damage to the upper jaw, a long sequestration process was combined with the formation of a bone “lintel” between the intact areas of the bone, the maxillary sinus, the nasal cavity walls, and the affected area of the maxilla (Fig. 8).
Fig. 8. The formation of bone “lintels” with extensive damage of the maxilla / Рис. 8. Формирование костных «перемычек» при обширном поражении верхней челюсти
In these cases, with the removal of sequesters, antrostomy or nasostomy was not formed. Therefore, these patients did not require extensive radical surgical interventions.
In the remaining 6 patients with a smaller upper jaw lesion volume, this bone “lintel” was not formed according to the CBCT. Participants underwent surgery in two stages. Stage 1 consisted of sequestrectomy with revision of the maxillary sinus without closing the antrostomy. Stage 2 was conducted 1 month later if disease recurrence and signs of marginal epithelialization did not occur. It included the closure of the antrostomy with local tissues, followed by postoperative wound healing under a protective plate. In the period between stages 1 and 2 of the surgical treatment, patients were discharged for sanitation of the maxillary sinus on an outpatient basis. The healing of postoperative defects was also satisfactory. No relapses of the disease were registered in any participants, and no repeated formation of the antrostome was noted. Control examinations were performed 3 and 6 months after the surgical treatment. Further, after complete scarring of the defect, participants were referred to an orthopedic dentist for a complex dentoalveolar prosthesis to replace the jaw defect, as well as subsequent rehabilitation.
Thus, the above results indicate the possibility of a successful sequestrectomy in this category of patients, which is subject to the final sequestration. The lack of positive results during sequestrectomy in other researchers [2] that necessitate radical surgical interventions in the form of jaw resections with replacement of the defect with a graft or implant materials has inevitably led to disability and impaired functionality of the dentition, due to the insufficient attention to the timing of sequestration in jaw osteonecrosis. The sequestration time in patients with jaw osteonecrosis is much longer than those with odontogenic osteomyelitis due to a decreased body reactivity associated with a narcotic drug intake and concomitant immunodeficiency diseases, as well as a wider volume of bone lesions. In addition, with damage to the lower jaw, the sequestration time is lengthened even more due to its anatomical aspects.
Conclusion
This study demonstrated that sequestrectomy for jaw osteonecrosis is somewhat different from the generally accepted technology. Moreover, this surgical intervention is only possible under the condition of sequestration having its characteristics. The timing of the formation of sequesters in osteonecrosis is much longer than in odontogenic osteomyelitis. Further, a pronounced ossification of the periosteum surrounding the pathological focus is noted in most cases, which contributes to the preservation of the jaw as an organ, even with an extensive necrotic process. The formation of bone “lintels” between the sequestrum and the maxillary sinus is registered in some cases. The positive results obtained after sparing sequestrectomy enabled the recommendation of this technique as the standard treatment for this group of patients and made it the method of choice for surgical treatment of osteonecrosis in most cases. The method of sparing sequestrectomy avoided the occurrence of functional disorders in the maxillofacial region, fully preserved the functions of swallowing and speech, and prevented the postoperative complications associated with the use of grafts and implant materials. This significantly reduced the period of postoperative healing, decreased the frequency of disease recurrence, and improved its prognosis.
The authors declare no conflict of interest.
About the authors
Gleb I. Antakov
Academician E.A. Wagner Perm State Medical University
Author for correspondence.
Email: glebreanimator@inbox.ru
MD, Head of Maxillofacial Purulent Surgery Department, Dentistry Hospital, Clinical Multiprofile Medical Center
Russian Federation, PermGalina I. Shtraube
Academician E.A. Wagner Perm State Medical University
Email: gstraube@mail.ru
MD, PhD, Associate Professor, Head of Surgical Dentistry and Maxillofacial Surgery Department
Russian Federation, PermIosif A. Boev
Academician E.A. Wagner Perm State Medical University
Email: iosifboev@gmail.com
Resident physician, Surgical Dentistry and Maxillofacial Surgery Department
Russian Federation, PermReferences
- Иващенко А.Л., Матрос-Таранец И.Н., Прилуцкий А.С. Современные аспекты этиопатогенеза, клинической картины и лечения остеомиелитов челюстей у пациентов с наркотической зависимостью и ВИЧ-инфекцией // Питання експериментальної та клінічної медицини. Збірник статей. – 2009. – №13(1) – С. 213–219. [Ivashchenko AL, Matros-Taranets IN, Prilutskii AS. Sovremennye aspekty ehtiopatogeneza, klinicheskoi kartiny i lecheniya osteomielitov chelyustei u patsientov s narkoticheskoi zavisimost’yu i VICH-infektsiei // Pitannya eksperimental’noї ta klіnіchnoї meditsini: Zbіrnik statei. 2009;13(1):213–219. (In Russ.)]
- Лесовая И.Г. Клинический опыт оказания специализированной помощи больным с нетипичным течением одонтогенного остеомиелита, страдающих наркоманией и синдромом приобретенного иммунодефицита / И.Г. Лесовая, В.М. Хименко, В.В. Хименко // Матер. Всеукраинской научно-практической конференции «Новые технологии в стоматологии и челюстно-лицевой хирургии». – Харьков, 2006. – С. 77–82. [Lesovaya IG. Klinicheskiy opyt okazaniya spetsializirovannoy pomoshchi bol’nym s netipichnym techeniem odontogennogo osteomielita, stradayushchikh narkomaniey i sindromom priobretennogo immunodefitsita / I.G. Lesovaya, V.M. Khimenko, V.V. Khimenko. In: Mater. Vseukrainskoy nauchno-prakticheskoy konferentsii “Novye tekhnologii v stomatologii i chelyustno-litsevoy khirurgii”. Kharkov, 2006. P. 77–82. (In Russ.)]
- Маланчук В.А., Бродецкий И.С. Комплексное лечение больных остеомиелитом челюстей на фоне наркотической зависимости // Вестник Витебского государственного медицинского университета. – 2014. – № 2. [Malanchuk VA, Brodetskii IS, Kompleksnoe lechenie bol’nykh osteomielitom chelyustei na fone narkoticheskoi zavisimosti. Vestnik of Vitebsk state medical university. 2014;(2). (In Russ.)]
- Маланчук В.А., Бродецкий И.С. Современные достижения и перспективы развития хирургической стоматологии и челюстно-лицевой хирургии : Республиканская научно-практическая конференция с международным участием : Мат. конф. – Харьков, 2010. – С. 51–53. [Malanchuk VA, Brodetskiy IS. Sovremennye dostizheniya i perspektivy razvitiya khirurgicheskoy stomatologii i chelyustno-litsevoy khirurgii : Respublikanskaya nauchno-prakticheskaya konferentsiya s mezhdunarodnym uchastiem. In: Mat. konf. Kharkov, 2010. P. 51–53. (In Russ.)]
- Медведев Ю.А., Басин Е.М. Остеонекрозы костей лицевого скелета у лиц с наркотической зависимостью: клиника, диагностика, принципы лечения // Врач. – 2012. – № 2. – С. 55–60. [Medvedev YuA, Basin EM. Facial osteonecroses in persons with drug addiction: clinical picture, diagnosis, principles of treatment. Vrach. 2012;(2):55–60. (In Russ.)]
- Уракова Е.В., Нестеров О.В. Выбор методов оперативного лечения больных с дезоморфиновым остеомиелитом // Практическая медицина. – 2014. – № 4–2(80). – С. 142–144. [Urakova EV, Nesterov OV. Choosing the methods of operative treatment of the patients with desomorphine osteomyelitis. Practical medicine. 2014;(4–2):142–144. (In Russ.)]
- Яременко А.И., Иванов Д.А. Дезоморфиновый остеонекроз. Социальная и медицинская проблема // Стоматологический научно-образовательный журнал. – 2012. – № 1/2. – С. 2–6. [Yaremenko AI, Ivanov DA. Dezomorfinovyi osteonekroz. Sotsial’naya i meditsinskaya problema. Journal of dental science and education. 2012;(1/2):2–6. (In Russ.)]
Supplementary files











