Balloon microcompression of gasserian ganglion in treatment of patients with trigeminal neuralgia
- Authors: Lazarchuk D.M.1,2, Alekseev G.N.3, Suslin Y.V.3, Chernov G.N.1, Chemidronov S.N.1
-
Affiliations:
- Samara State Medical University
- Samara City Clinical Hospital No. 1 named after N.I. Pirogov
- Samara Regional Clinical Hospital named after V.D. Seredavin
- Issue: Vol 21, No 1-2 (2021)
- Pages: 139-145
- Section: Clinical Medicine
- Published: 15.01.2021
- URL: https://aspvestnik.ru/2410-3764/article/view/108848
- DOI: https://doi.org/10.55531/2072-2354.2021.21.1.139-145
- ID: 108848
Cite item
Full Text
Abstract
- AIM: To determine the group of patients with trigeminal neuralgia for whom the balloon microcompression is the optimal treatment modality. To evaluate the effectiveness of balloon microcompression in the treatment of patients with trigeminal neuralgia.
MATERIALS AND METHODS: The study included 52 patients (18 men and 34 women) with trigeminal neuralgia who were operated with the use of balloon microcompression in neurosurgical department of the Samara Regional Clinical Hospital named after V.D. Seredavin over the period from February 2012 to June 2017. The evaluation of effectiveness was carried by Visual Analogue Scale, Macnub scale, the dose tapering of anti-epileptic medicines was also taken into account.
RESULTS: In postoperative period the decrease in pain syndrome was noticed by 48 patients (92.3%) from 90 ± 10 to 30 ± 10 points by Visual Analogue Scale. According to Macnub scale 29 patients (55.7%) estimated the level of treatment as “good”. 19 patients (36.5%) had negative emotional response due to the hypoesthesia, so the result was estimated as “satisfactory”. 39 patients (75%) managed to decrease the dosage of Finlepsin from 1000-1200 mg to 300-400 mg. Among them there were 8 patients (15%) who subsequently discontinued taking Finlepsin.
CONCLUSIONS: Balloon microcompression of Gasserian ganglion is a destructive-symptomatic method that must be considered the main modality only in patients with idiopathic trigeminal neuralgia or with contraindications for operative treatment. Balloon microcompression of Gasserian ganglion is a minimally destructive treatment mode, which allows to increase the effectiveness of treatment due to the alleviation of pain paroxysm in the area of trigeminal innervation and the decrease in dosage of anti-epileptic medicine.
Full Text
Обоснование
Несмотря на множество малоинвазивных методов лечения, микроваскулярная декомпрессия корешка тройничного нерва является единственным патогенетическим и наиболее эффективным методом лечения пациентов с классической тригеминальной невралгией. Выполненная микроваскулярная декомпрессия также минимизирует количество рецидивов заболевания в раннем и позднем послеоперационном периоде [6]. Однако средний возраст пациентов, у которых развивается заболевание, составляет 50,7 года, согласно R.А. Hughes (1993), и решение о выполнении оперативного вмешательства должно приниматься с учетом коморбидности, что представляется одной из основных проблем в выборе адекватного метода лечения [7, 8].
Кроме того, пациенты, испытывающие болевые пароксизмы в области иннервации ветвей тройничного нерва, на протяжении многих лет находятся в состоянии дегидратации и имеют нарушение не только водно-электролитного, но и нутриентного баланса, так как из-за наличия триггерных зон прием пищи или жидкостей сопровождается возникновением болевого синдрома в области лица [4].
Для пациентов, имеющих противопоказания к микроваскулярной декомпрессии, либо у пациентов с идиопатической формой невралгии тройничного нерва в СОКБ им. Середавина с 2012 г. успешно применяется метод баллонной микрокомпрессии гассерового узла. Показаниями к баллонной микрокомпрессии гассерового узла являются наличие тригеминальных болей и неэффективность консервативного лечения, заключающаяся в отсутствии улучшения общего состояния ввиду снижения интенсивности и продолжительности болевого синдрома. Также данный метод хотя и является деструктивным, но одним из основных в лечении пациентов с сопутствующей соматической патологией, не позволяющей выполнить трепанацию задней черепной ямки.
Цель — повышение эффективности лечения пациентов с невралгией тройничного нерва, с использованием деструктивного метода лечения (баллонной микрокомпрессии гассерового узла), в виду наличия противопоказаний к выполнению микроваскулярной декомпрессии корешка тройничного нерва.
Материалы и методы
В период с февраля 2012 г. по июнь 2017 г. в нейрохирургическом отделении СОКБ им. В.Д. Середавина прооперированы 52 пациента (18 мужчин и 34 женщины) с тригеминальной невралгией, с использованием метода баллонной микрокомпрессии гассерового узла. Возраст пациентов находился в диапазоне 67 ± 11 лет, болевой синдром составил 9 ± 1 балла по Visual Analogue Scale (VAS). Пациенты вошли во II группу (сравнения).
В этот же период времени в неврологическом отделении на консервативном лечении находились 116 пациентов (средний возраст 67 ± 19 лет), которые вошли в I контрольную группу. Базисом лечения стали препараты из группы антиконвульсантов, а именно — Финлепсин (карбамазепин) с суточной дозировкой 1000–1200 мг. Также пациентам этой группы был проведен курс рентгенотерапии по 10 сеансов. Всем пациентам проводилось клиническое исследование, включающее в себя несколько этапов.
На первом этапе определяли этиологический фактор с помощью магнитно-резонансной томографии (режим CISS, FLAER, FIESTA) с целью исключения органических изменений головного мозга и визуализации наличия возможного нейроваскулярного конфликта. При диагностировании нейроваскулярного конфликта выполнялась мультиспиральная компьютерная томография с ангиопрограммой. Нами были выявлены пациенты с идиопатической и симптоматической невралгией тройничного нерва, у которых тригеминальные боли не связанны с компрессией корешка тройничного нерва кровеносным сосудом. При детальном обследовании у таких пациентов по данным магнитно-резонансной томографии (режимы CISS, FLAIR, FIESTA) выявляются признаки демиелинизации, как при рассеянном склерозе, наличие каверномы, глиоза в области варолиева моста, либо объемного образования мостомозжечкового угла. У этой группы пациентов основной задачей также является определение выбора метода лечения, ведь выполнение микроваскулярной декомпрессии корешка тройничного нерва им не показано.
На втором этапе отбора пациентов для деструктивного хирургического лечения в обязательном порядке проводили оценку соматического статуса, с учетом коморбидности, длительности заболевания, а также рисков, связанных с длительным приемом антиконвульсантов, оценку неврологического статуса, данных лабораторных и инструментальных методов исследований. На этапе отбора пациентов для хирургического лечения основной проблемой является непосредственная возможность выполнения оперативного вмешательства, ведь зачастую у пациентов есть сопутствующая соматическая патология, связанная с возрастом. Основные из них: перенесенный инфаркт миокарда с нарушением ритма и проводимости сердца; хроническая сердечная недостаточность; высокий индекс МНО у пациентов, принимающих антикоагулянты; хроническая почечная или дыхательная недостаточность, не позволяющие выполнить трепанацию задней черепной ямки из-за высокого риска послеоперационных осложнений. После проведения всех клинико-диагностических мероприятий была отобрана II группа (сравнения) пациентов, имеющих показания для выполнения баллонной микрокомпрессии гассерового узла.
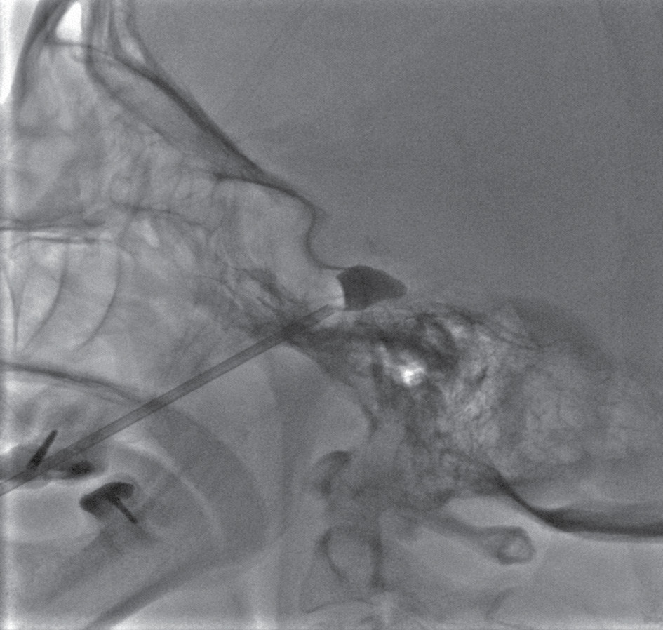
Суть хирургического лечения заключается в компрессии гассерового узла путем пункции овального отверстия через подвисочную ямку с помощью набора Муллона, баллоном-катетером, в котором временно создается давление. Выполняют переднелатеральный доступ, при котором пункционную иглу длиной 8–10 см вводят примерно на 3 см латеральнее угла рта на уровне верхнего второго моляра; иглу направляют медиально, вверх и дорсально. Кончик иглы ориентируют на зрачок (если смотреть спереди) и середину скуловой дуги (если смотреть сбоку). Игла должна пройти кнаружи от полости рта между ветвью нижней челюсти и верхней челюстью, затем латеральнее крыловидного отростка, и проникнуть в полость черепа, в среднюю черепную ямку через овальное отверстие. Контроль положения иглы осуществлялся с помощью электронно-оптического преобразователя, введение иглы проводили до уровня верхней границы спинки турецкого седла (рис. 1). Через иглу до уровня тройничного вдавления пирамиды височной кости, в меккелеву полость, проводят баллон-катетер. Баллон раздувается смесью контраста с физиологическим раствором (не более 1 мл) и приобретает при этом чаще грушевидную форму. Экспозиция компрессии длится 10 мин, после чего иглу и сдутый баллон одномоментно удаляют. Выполняют гемостаз с давлением на место пункции — на 1–2 мин, после чего накладывают асептическую наклейку.
Рис. 1. Баллонная микрокомпрессия гассерового узла
Fig. 1. Balloon microcompression of Gasserian ganglion
Особенности оперативного лечения предполагали применение методики чередования анестезии с пробуждением. Во время манипуляции использовалась непрерывная инфузия пропофола (2 мг/кг · ч), с сохранением спонтанного дыхания в комбинации с введением опиоидов — фентанила или акупана (20 мг в/в капельно). Такой подход обеспечивал адекватное обезболивание и позволял избежать постановки ларингеальной маски и, следовательно, риска возникновения кашлевого рефлекса, что негативно могло бы сказаться на результатах операции [1, 3, 5].
После выполненного оперативного лечения пациентам определяли палатный режим. Длительность пребывания больных в стационаре не превышала 5–7 сут. Реабилитационные мероприятия в послеоперационном периоде были направлены на восстановление водно-электролитного и нутриентного баланса, чему благоприятствуют уменьшение интенсивности и продолжительности прозопалгий, а также отсутствие триггерных зон. Ежедневно пациентам проводили оценку соматического статуса, неврологический осмотр. Осуществлялся контроль эффективности лечения путем заполнения опросников, включающих в себя шкалы Macnub и VAS. Контролировали суточную дозировку антиконвульсантов, принимаемых пациентами. Статистический контроль проводили спустя 1 мес., а также каждые 3 мес. в течение года.
Результаты
Для определения значимости нами использовался точный критерий Фишера, а также критерий Фишера с угловым преобразованием. Данный метод используется для исследования взаимосвязи фактора и исхода, помогая сравнивать частоту патологических состояний между разными группами пациентов. Суть углового преобразования Фишера состоит в переводе процентных долей в величины центрального угла, который измеряется в радианах. Большей процентной доле будет соответствовать больший угол φ, а меньшей доле — меньший угол, но соотношения здесь не будут линейными.
Критерий Фишера был определен с помощью программы «Автоматического расчета углового преобразования».
В послеоперационном периоде снижение болевого синдрома отметили 48 пациентов (92,3 %) с 90 ± 10 баллов до 30 ± 10 баллов по VAS. По нашим данным, эффективность консервативного лечения составляет лишь 33,6 % всех пациентов, которые отмечали снижение интенсивности болевого синдрома с 80 ± 20 до 70 ± 10 по шкале VAS [1, 3].
Точный критерий Фишера составил Р = (39 + 77) · (48 + 4) · (39 + 48) · (77 + 4) / 39 · 77 · 48 · 4 · 168 = 0,439 (табл. 1, рис. 2).
Таблица 1. Расчет критерия Фишера для результатов лечения
Table 1. Fisher’s criterion calculation for treatment outcome
Результат лечения Вид лечения | Результат лечения достигнут, чел. | Результат лечения не достигнут, чел. | Всего, чел. | Критерий Фишера с угловым преобразованием (ϕ*) | Критерий Фишера (Р) |
Консервативное лечение | 39 | 77 | 116 | 8,041 | 0,439 |
Баллонная микрокомперессия гассерового узла | 48 | 4 | 52 | ||
Всего | 87 | 81 | 168 |
Рис. 2. Критерий Фишера для результатов лечения. Полученное эмпирическое значение ϕ* находится в зоне значимости
Fig. 2. Fisher’s criterion for treatment outcome. The resulting empirical meaning ϕ* is in the significance zone
Также в послеоперационном периоде после проведенного хирургического лечения 39 пациентам удалось снизить суточную дозировку Финлепсина до 300–400 мг, вместо привычных 1000–1200 мг, с последующей полной отменой препарата в позднем послеоперационном периоде у 8 (15 %) пациентов. Если снижение суточной дозировки финлепсина у пациентов после выполнения баллонной микрокомпрессии гассерового узла в послеоперационном периоде удается достичь у 75 % пациентов на 62,5 % исходной дозировки, то при консервативном лечении, по нашим данным, лишь у 18,97 % пациентов — на 16,6 % [2, 3]. Точный критерий Фишера составил Р = (22 + 94) × × (39 + 19) · (22 + 39) · (94 + 13) / 22 · 39 · 94 × × 13 · 168 = 0,224 (табл. 2, рис. 3).
Таблица 2. Расчет критерия Фишера для снижения дозировки Финлепсина
Table 2. Fisher’s criterion calculation for dose tapering of Finlepsin
Результат лечения Вид лечения | Снижение дозировки финлепсина выполнено, чел. | Снижение дозировки финлепсина не выполнено, чел. | Всего, чел. | Критерий Фишера с угловым преобразованием (ϕ*) | Критерий Фишера (Р) |
Консервативное лечение | 22 | 94 | 116 | 7,143 | 0,224 |
Баллонная микрокомперессия Гассерового узла | 39 | 13 | 52 | ||
Всего | 61 | 107 | 168 |
Рис. 3. Критерий Фишера для снижения дозировки Финлепсина. Полученное эмпирическое значение ϕ* находится в зоне значимости
Fig. 3. Fisher’s criterion for dose tapering of Finlepsin. The resulting empirical meaning ϕ* is in the significance zone
Длительность эффекта после баллонной микрокомпрессии гассерового узла сохранялась от 3 до 12 мес. и более в единичных случаях [1, 3]. После возникновения болевых пароксизмов пациентам предлагалось повторное вмешательство.
Как в раннем, так и в отдаленном послеоперационном периоде у пациентов не отмечались грубые расстройства чувствительности на лице, отсутствовала аллодиния, у 92,3 % исчезали триггерные зоны. Хотя по механизму действия баллонную микрокомпрессию и относят к механическому ганглиолизису, однако по сравнению с термическим и химическим повреждением гассерового узла такие осложнения как anesthesia dolorosa, диаферентационные боли, корнеальная анестезия и кератит отсутствовали в наших наблюдениях. По данным Van Loveren и J.A. Brown, возникновение чувствительных расстройств после проведенной терморизотомии наблюдается у 50 % пациентов; anesthesia dolorosa — в 25 % случаев; корнеальная анестезия и кератит — в 25 % наблюдений; возникновение осложнений после балонной микрокомпрессии ввиду anesthesia dolorosa, диафферентационной боли, корнеальной анестезии и кератита — не более чем в 0,1 % случаев [2].
Учитывая результаты опроса по модифицированной шкале Macnub, применяемой для оценки качества лечения, 29 пациентов (55,7 %) оценили результат проведенного лечения как «хороший». У 19 (36,5 %) больных гипестезия на лице, несмотря на эффективность хирургического лечения, сопровождалась отрицательной эмоциональной окраской, результат был оценен как «удовлетворительный», согласно модифицированной шкале Machub. Ввиду избегания подобных побочных эффектов проводилась психологическая предоперационная подготовка с поэтапным объяснением методов воздействия и результатов лечения [1, 3].
Повышался и уровень качества жизни пациентов, которые в 82,7 % после хирургического вмешательства были способны вернуться на модифицированную работу (согласно результатам опроса по шкале Macnub), чему также благоприятствовало снижение суточной дозировки принимаемых антиконвульсантов [4]. Обобщенные результаты представлены в табл. 3.
Таблица 3. Сравнение консервативного метода лечения и баллонной микрокомпрессии
Table 3. Comparison of conservative treatment and balloon microcompression
Вид лечения | Консервативное | Баллонная микрокомпрессия |
Болевой синдром до лечения (VAS) | 80 ± 20 | 80 ± 20 |
Снижение болевого синдрома после лечения | ||
Количество, % | 33,6 | 92,3 |
По шкале VAS | 70 ± 20 | 30 ± 10 |
Дозировка Финлепсина | ||
До лечения, мг | 1000–1200 | 1000–1200 |
Снижена (количество, %) | 18,9 | 75 |
После лечения, мг | 800–1000 | 300–400 |
Уровень довольства качеством лечения (шкала Macnub) | ||
Хорошо | 17,9 % | 55,7 % |
Удовлетворительно | 15,7 % | 36,5 % |
Неудовлетворительно | 66,4 % | 7,7 % |
Обсуждение
На сегодняшний день нет строгих критериев, определяющих показания к выбору хирургического вмешательства, а имеющиеся не отражают в должной мере коморбидность пациентов. Микроваскулярная декомпрессия хоть и является основным патогенетическим методом лечения, однако во избежание высокого процента летальности на этапе отбора больных должны быть сформированы и основные группы пациентов.
В нашем исследовании использованные шкалы (VAS, Macnub) показали целесообразность выбранного метода. Полученные эмпирические значения точного критерия Фишера также находятся в зоне значимости и подтверждают положительный результат. Кроме того, за время лечения даже тяжелых коморбидных пациентов не было опасных осложнений и летальных исходов.
Предложенный метод обладает рядом преимуществ. Существует возможность выполнения хирургического вмешательства лишь при наличии в операционной электронно-оптического преобразователя. Не выполняются грубые доступы, трепанация черепа. Не требуется серьезного анестезиологического пособия, операция выполняется за 15–20 минут, сокращая время пребывания больного не только в операционной, но и в стационаре. Реабилитационные мероприятия в послеоперационном периоде направлены лишь на восстановление водно-электролитного и нутриентного баланса, чему ранее препятствовал выраженный болевой синдром. По сравнению с другими малоинвазивными деструктивными вмешательствами возникновение чувствительных расстройств, anesthesia dolorosa, корнеальной анестезии и кератита, диафферентационной лицевой боли наблюдается не более чем в 0,1 % случаев, в то время как при других методах — по данным современных литературных источников — в диапазоне 25–50 % [2, 5].
Выводы
- Учитывая отсутствие грубых осложнений, баллонную микрокомпрессию гассерового узла можно отнести к эффективному минимально-деструктивному методу лечения, позволяющему повысить качество лечения пациентов.
- Являясь деструктивно-симптоматическим методом лечения, данное оперативное вмешательство должно считаться основным лишь у пациентов, имеющих идиопатическую невралгию тройничного нерва, либо имеющих противопоказания к патогенетическому оперативному вмешательству.
- Баллонная микрокомпрессия гассерового узла позволяет снизить интенсивность болевого пароксизма в области иннервации ветвей тройничного нерва, а также снизить дозировку принимаемых пациентами антиконвульсантов, повышая уровень качества жизни.
Авторы заявляют об отсутствии конфликта интересов.
About the authors
Dmitriy M. Lazarchuk
Samara State Medical University; Samara City Clinical Hospital No. 1 named after N.I. Pirogov
Author for correspondence.
Email: lazarchukmd@yandex.ru
Postgraduate student of the Department of Human Anatomy, Neurosurgeon
Russian Federation, Samara; SamaraGennadiy N. Alekseev
Samara Regional Clinical Hospital named after V.D. Seredavin
Email: narcenter@inbox.ru
Candidate of Medical Sciences, Head of the Department of Neurosurgery
Russian Federation, SamaraYuriy V. Suslin
Samara Regional Clinical Hospital named after V.D. Seredavin
Email: suslinyu@mail.ru
Candidate of Medical Sciences, Surgeon of the Department of X-ray Surgical Methods of Diagnosis and Treatment
Russian Federation, SamaraGleb N. Chernov
Samara State Medical University
Email: gleb.chernov.1998@mail.ru
6th year student
Russian Federation, SamaraSergey N. Chemidronov
Samara State Medical University
Email: gfrs@inbox.ru
Candidate of Medical Sciences, Associate Professor, Head of the Department of Human Anatomy
Russian Federation, SamaraReferences
- Alekseev GN, Kamadej OO, Lazarchuk DM, Suslin YuV. Hirurgicheskoe lechenie nevralgii trojnichnogo nerva. Proceedings of the mezhdunarodnaya nauchnaya konferenciya “Dobrohotovskie chteniya”; 2016 Oct 13–15; Mahachkala. Mahachkala; 2016: 154. (In Russ.)
- Gordienko KS. Differencirovannoe mikrohirurgicheskoe lechenie kompressionnyh trigeminal’nyh nevralgij [dissertation abstract]. Saint Petersburg; 2004. (In Russ.)
- Lazarchuk DM. Effektivnost’ variantnyh metodov lecheniya nevralgii trojnichnogo nerva. Proceedings of the nauchno-prakticheskaya konferenciya s mezhdunarodnym uchastiem “Aspirantskie chteniya”; 2017, 8 Nov; Samara. Samara, 2017:92–93. (In Russ.)
- Malygin VN. Optimizaciya intensivnoj terapii posle mikrovaskulyarnyh dekompressij koreshka trojnichnogo nerva [dissertation abstract]. Rostov-na-Donu; 2009. (In Russ.)
- Cymbalyuk VI, Zorin NA, Latyshev DYu. The first results of the trigeminal ganglion percutaneous balloon compression for trigeminal neuralgia treatment. Ukraїns’kij nejrohіrurgіchnij zhurnal. 2007;(2):54–57. (In Russ.)
- Jannetta PJ. Microvascular decompression of the trigeminal nerve root entry zone. In: Trigeminal neuralgia. Ed. by R.L. Rovit, R. Murali, P.J. Jannetta. Baltimore; 1980:201–222.
- Katusic S. Williams DB, Beard CM, et al. Epidemiology and clinical features of idiopathic trigeminal neuralgia and glossopharyngeal neuralgia: Similarities and differences, Rochester, 357 Minnesota, 1945-1984. Neuroepidemiology. 199110(5–6):276–281. doi: 10.1159/000110284
- Love S, Coakham HB.Trigeminal neuralgia: Pathology and pathogenesis. Brain. 2001;124(Pt 12):2347–2360. doi: 10.1093/brain/124.12.2347
Supplementary files






