Planning the approach in mini percutaneous nephrolithotripsy according to individual kidney anatomy detected by computed tomography
- Authors: Murushidi M.Y.1,2, Nizamova R.S.1, Kolsanov A.V.1, Andreeva R.D.1, Zhurkina O.V.1, Gavrilova T.A.3
-
Affiliations:
- Samara State Medical University
- Medical University "REAVIZ"
- Sanatorium-Resort "Privolzhsky"
- Issue: Vol 23, No 2 (2023)
- Pages: 37-42
- Section: UROLOGY AND ANDROLOGY
- Published: 16.06.2023
- URL: https://aspvestnik.ru/2410-3764/article/view/322766
- DOI: https://doi.org/10.55531/2072-2354.2023.23.2.37-42
- ID: 322766
Cite item
Full Text
Abstract
Aim – to analyze postoperative complications after mini percutaneous nephrolithotripsy, taking into account an assessment of individual variations of kidney anatomy.
Material and methods. Postoperative complications after mini percutaneous nephrolithotripsy were analyzed in 60 patients who underwent preoperative CT urography with intravenous bolus contrast and 3D reconstruction.
Results. We found no significant correlation between the number of complications after mini percutaneous nephrolithotripsy and the type of division of the branches of the renal artery of the 2nd order, as well as no dependence of the occurrence of complications on the presence of accessory arteries. A moderate correlation between the number of complications and the number of accesses was noted.
Conclusion. In mini percutaneous nephrolithotripsy, the preoperative planning and marking of the access trajectory can significantly reduce the number of postoperative complications.
Full Text
Список сокращений
МКБ – мочекаменная болезнь; КТ – компьютерная томография; ЧЛС – чашечно-лоханочная система; ДИ – доверительный интервал.
АКТУАЛЬНОСТЬ
Мочекаменная болезнь (МКБ) относится к одним из самых распространенных заболеваний в мире. Частота МКБ в различных странах колеблется от 7,0 до 20,0% [1–4]. Пациенты с уролитиазом составляют 20,0–40,0% из всех обратившихся в урологические стационары [5]. Наиболее тяжелым течением характеризуется МКБ при наличии крупных, размером более 2 см, и коралловидных камней [6–8].
Согласно новейшим рекомендациям Американс-кой и Европейской ассоциаций урологов, методом выбора в лечении крупных камней почек является перкутанная литотрипсия, однако в современной литературе есть сообщения о большом количестве осложнений, к наиболее тяжелым из которых относится почечное кровотечение [9–11].
Поскольку в подавляющем большинстве случаев кровотечение было обусловлено особенностями анатомического строения почки, ее линейными размерами, положением и строением артериального русла, выбор метода визуализации крайне важен [12–14].
S. Zanetti и соавт. (2017) показали прямую зависимость риска развития кровотечения от размеров почечного доступа и диаметра нефроскопа: чем меньше размер инструмента, тем меньше травма паренхимы и сосудов почки [15]. В настоящее время разработаны различные методики с применением нефроскопов очень малых диаметров. К ограничениям применения этих приборов относят высокие требования к точности позиционирования и пред-операционному планированию для снижения потребности в дополнительных доступах, каждый из которых увеличивает риск развития кровотечения [16–18].
Несмотря на то что анатомии почки посвящено множество научных работ, исследования индивидуальной прижизненной анатомии почек и ее сосудов при помощи трехмерного компьютерного моделирования отсутствуют. Учитывая быстрое развитие в урологии малоинвазивных методик, оценка почечной анатомии при компьютерной томографии (КТ) с позиции планирования перкутанного доступа, формирование баз данных клинических изображений и оценка анатомических изменений при МКБ представляют большой клинический интерес.
ЦЕЛЬ
Провести анализ послеоперационных осложнений после мини-перкутанной литотрипсии с учетом индивидуальной оценки малососудистых зон почки и предоперационного планирования на основе изучения ее вариантной анатомии, определенной при КТ с трехмерной реконструкцией.
МАТЕРИАЛ И МЕТОДЫ ИССЛЕДОВАНИЯ
Проведен анализ послеоперационных осложнений после мини-перкутанной литотрипсии у 60 пациентов. Всем пациентам в клиническом госпитале ЗАО «Медицинская компания ИДК» г. Самары в период с 5 марта 2018 года по 5 марта 2020 года перед операцией была выполнена КТ-урография с внутривенным болюсным контрастированием и трехмерной реконструкцией. При этом определялись линейные параметры почек, вариантная анатомия основных почечных артерий, строение ветвей почечной артерии 1-го и 2-го порядка, добавочных артерий. Затем до операции планировали доступ к почке.
В исследовании участвовали 26 мужчин (43,3±6,40%) и 34 женщины (56,7±6,40%). При распределении обследованных по возрастным группам была использована классификация возрастных периодов АПН СССР (1965) [19]. К первому периоду зрелого возраста относили мужчин 29–39 лет и женщин 29–34 лет; ко второму периоду зрелого возраста относили мужчин 40–60 лет и женщин 35–55 лет; к пожилому возрасту – мужчин 61–74 лет и женщин 56–74 лет; к старческому возрасту – мужчин и женщин 75–90 лет. Распределение пациентов по возрастным группам было следующее: в первом периоде зрелого возраста – 18 пациентов (30,0±5,92%), во втором периоде зрелого возраста – 19 пациентов (31,7±6,01%), в пожилом возрасте – 15 человек (25,0±5,59%), в старческом возрасте – 8 человек (13,3±4,38%).
Для оценки анатомо-топографического расположения почек и строения их артериального русла были применены методы 3D-реконструирования данных, полученных при КТ, и методы вариационно-статистического анализа. С целью ретроспективного анализа использовались цифровые данные из системы передачи и архивации DICOM изображений (PACS) клинического госпиталя ЗАО «Медицинская компания ИДК» г. Самары с последующей их обработкой в программах «Луч-С», «Автоплан» и VessellQ Xpress с загрузкой в них данных в формате DICOM.
Проведен статистический анализ частоты доступов при литотрипсии и частоты развития осложнений после мини-перкутанной литотрипсии по шкале Клавьен – Диндо. Обоснование предоперационного планирования доступа к почке во время КТ с трехмерной реконструкцией проводилось с учетом отсутствия связи между вариантной анатомией сосудов почки 2-го порядка и наличием осложнений после мини-перкутанной литотрипсии, подтвержденной статистически с расчетом коэффициента ранговой корреляции Спирмена (ñ) и с последующей оценкой значимости корреляции при помощи t-критерия. При использовании коэффициента ранговой корреляции условно оценивали тесноту связи между признаками, считая значения коэффициента 0,1 и менее отсутствием связи, 0,1–0,3 – показателями слабой тесноты связи; значения более 0,4, но менее 0,7 – показателями умеренной тесноты связи, а значения 0,7 и более – показателями высокой тесноты связи.
РЕЗУЛЬТАТЫ
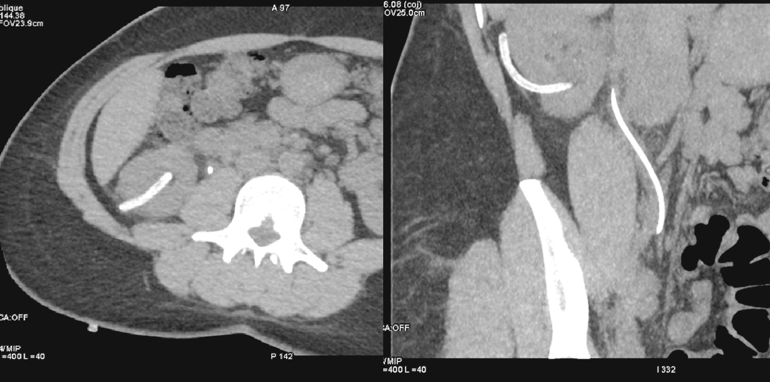
Нами были изучены результаты 60 мини-перкутанных литотрипсий. Все они проводились с использованием 3D-планирования доступа в программах «Автоплан», «Луч-С» и VessellQ Xpress. При нативном и отсроченном сканировании находили целевую группу чашечек, содержащую конкремент. В артериальную фазу определяли тип кровоснабжения почки и ее малососудистые зоны (рисунки 1, 2).
Рисунок 1. Определение строения артериального русла почки (артерии выделены дополнительно).
Рисунок 2. Определение малососудистой зоны (артерии выделены дополнительно).
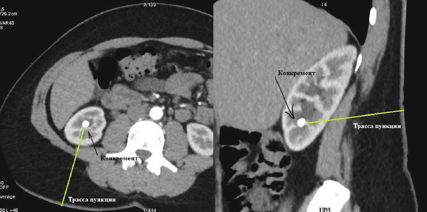
После определения линейных размеров и сосудистой анатомии почки с выявлением малососудистых зон осуществлялось планирование точки и траектории доступа с нанесением на кожу визуальных маркеров для последующей интраоперационной оценки точки пункции и направления движения пункционной иглы (рисунок 3).
Рисунок 3. Планирование трассы чрескожного доступа.
На следующие сутки после проведения литотрипсии для выявления остаточных конкрементов и контроля отсутствия осложнений выполнялась контрольная компьютерная томография (рисунок 4).
Рисунок 4. Контрольная КТ: в чашечно-лоханочной системе (ЧЛС) правой почки определяется контрольный дренаж и стент, конкремент не определяется.
Успех в дроблении камня был достигнут у всех пациентов. У 52 (86,7%) пациентов литотрипсия была осуществлена через 1 доступ, у 6 (10,0%) пациентов – через 2 доступа, у 3 (3,3%) пациентов – через 3 доступа (таблица 1).
Таблица 1 / Table 1
Количество доступов при литотрипсии
Number of accesses for nephrolithotripsy
Количество доступов | Количество пациентов | % |
1 | 52 | 86,7 |
2 | 6 | 10,0 |
3 | 2 | 3,3 |
Всего | 60 | 100,0 |
Во всех случаях повторный доступ был связан с наличием нескольких конкрементов, их расположением. Необходимости в повторном доступе по причине выхода не на ту группу чашечек не возникло ни у одного пациента. Осложнения оценивались по шкале Клавьен – Диндо. Осложнения I степени возникли у 25 (41,6%) пациентов, II степени – у 3 (5,0%) пациентов, III степени – у 1 (3,3%) пациента. Осложнений IV и V степеней не наблюдалось (таблица 2).
Таблица 2 / Table 2
Частота развития осложнений после мини-перкутанной литотрипсии по шкале Клавьен – Диндо
The incidence of complications after mini percutaneous nephrolithotripsy according to the Clavien – Dindo scale
Степень | Количество | % |
I | 25 | 41,6 |
II | 3 | 5,0 |
III | 1 | 1,7 |
IV | 0 | 0 |
V | 0 | 0 |
Всего | 29 | 48,3 |
Среди осложнений I степени обнаружены следующие: болевой синдром, потребовавший назначения дополнительных анальгетиков, однократный подъем температуры с введением антипиретиков. К осложнениям II степени был отнесен пиелонефрит, купированный антибактериальной терапией. Осложнение III степени – пиелонефрит с формированием абсцесса, потребовавший чрескожного дренирования под контролем КТ. Ни одна мини-перкутанная литотрипсия не сопровождалась серьезными геморрагическими осложнениями. Макрогематурия по контрольному дренажу отмечалась в той или иной степени у всех пациентов в течение 1–3 дней (в среднем 1,1 дня) и купировалась на фоне консервативной гемостатической терапии.
Оценкой корреляции между количеством осложнений мини-перкутанной литотрипсии и типом деления ветвей почечной артерии 2-го порядка значимой зависимости не установлено. Коэффициенты корреляции варьировались от 0,002 до 0,139. Зависимость возникновения осложнений от варианта деления ветвей почечной артерии 1-го порядка также не определялась. Коэффициент корреляции составил 0,002 и 0,007 для левой и правой стороны соответственно (таблица 3).
Таблица 3 / Table 3
Корреляция зафиксированных осложнений и вариантов деления ветвей почечной артерии
The correlation of recorded complications and variants of division of the renal artery branches
Оцениваемый параметр | Коэффициент корреляции (ñ) | Границы 95% доверительного интервала | Вероятность (p) | |
Нижняя | Верхняя | |||
Тип ветвления (передняя ветвь, правая почка) | 0,002 | -0,249 | 0,253 | 0,98 |
Тип ветвления (задняя ветвь, правая почка) | 0,139 | -0,116 | 0,377 | 0,27 |
Тип ветвления (передняя ветвь, левая почка) | 0,082 | -0,173 | 0,326 | 0,52 |
Тип ветвления (задняя ветвь, левая почка) | 0,076 | -0,178 | 0,321 | 0,55 |
Вариант деления ветвей 1-го порядка справа | 0,007 | -0,244 | 0,258 | 0,95 |
Вариант деления ветвей 1-го порядка слева | 0,002 | -0,249 | 0,253 | 0,98 |
При оценке зависимости возникновения осложнений и наличия добавочных артерий значимой корреляции также выявлено не было. Коэффициент корреляции при этом составил 0,086 (95% ДИ -0,164-0,319, p = 0,54). В то же время была отмечена прямая, умеренная зависимость количества осложнений от количества доступов. Коэффициент корреляции при этом составил ñ=0,323 (95% ДИ 0,086–0,526; р = 0,009).
ОБСУЖДЕНИЕ
Макрогематурия сопровождает все хирургические вмешательства, связанные с доступом к ЧЛС почки, однако не является серьезным осложнением и возникает в связи с неизбежной травматизацией тканей на трассе доступа и в первую очередь паренхимы почки. Такие кровотечения относятся, по сути, к капиллярным и при нормальном гемостазе пациента останавливаются самостоятельно в короткий промежуток времени. Но если речь идет о травме крупного сосуда, в первую очередь ветви почечной артерии, кровотечение носит массивный характер и сопровождается образованием гематом как в паренхиме почки и подкапсульно, так и в забрюшинном пространстве. Данные кровотечения зачастую требуют не только проведения гемотрансфузии, но и дополнительных вмешательств вплоть до нефрэктомии.
По данным R. Kukreja и соавт. (2004), из 301 пациента, которому была проведена перкутанная нефролитотрипсия, кровотечения, потребовавшие переливания крови, возникли у 8,0% пациентов [20].
M.S. Michel и соавт. (2007) доложили о 17,0% кровотечений, потребовавших гемотрансфузии, основываясь на опыте около 1000 чрескожных вмешательств по поводу МКБ [12].
Из 60 пациентов, которым проводилась мини-перкутанная нефролитотрипсия в нашем исследовании, кровотечения, которые вызвали бы необходимость дополнительных вмешательств или переливания компонентов крови, не встретились ни у одного. Такой результат был достигнут благодаря тщательному предоперационному планированию, индивидуальной оценке малососудистых зон почки и предоперационной разметке на основе 2D- и 3D-моделирования компьютерных томограмм. Это сопоставимо с данными И.В. Серегина и соавт. (2022), X. Zhou и соавт. (2008), которые сообщили, что при учете предоперационной оценки сосудистого русла и интраоперационного ультразвукового контроля трассы иглы серьезные геморрагические осложнения возникают лишь у 1,0% пациентов [21, 22].
ЗАКЛЮЧЕНИЕ
Таким образом, при мини-перкутанной литотрипсии предоперационное планирование с предоперационной разметкой траектории доступа с нанесением на кожу визуальных маркеров для последующей интраоперационной оценки точки пункции и направления движения пункционной иглы, учитывающее индивидуальную вариантную анатомию почки каждого пациента, позволяет значительно уменьшить число послеоперационных осложнений.
Конфликт интересов: авторы заявляют об отсутствии конфликта интересов, требующего раскрытия в данной статье.
About the authors
Mikhail Y. Murushidi
Samara State Medical University; Medical University "REAVIZ"
Email: m.myryshidi@mcclinics.ru
ORCID iD: 0000-0001-8296-8290
urologist, Surgical Department of the hospital
Russian Federation, Samara; SamaraRumiya S. Nizamova
Samara State Medical University
Author for correspondence.
Email: r.s.nizamova@samsmu.ru
ORCID iD: 0000-0003-4452-8547
PhD, Professor, Head of the Department of Urology
Russian Federation, SamaraAleksandr V. Kolsanov
Samara State Medical University
Email: a.v.kolsanov@samsmu.ru
ORCID iD: 0000-0002-4144-7090
SPIN-code: 2028-6609
ResearcherId: B-6050-2018
PhD, Professor of RAS, the Head of the Department of Operative surgery and clinical anatomy with a course of innovative technologies
Russian Federation, SamaraRamilya D. Andreeva
Samara State Medical University
Email: r.d.andreeva@samsmu.ru
ORCID iD: 0000-0001-5385-7049
assistant of the Department of Urology
Russian Federation, SamaraOlga V. Zhurkina
Samara State Medical University
Email: o.v.zhurkina@samsmu.ru
ORCID iD: 0000-0002-6440-793X
PhD, Associate professor of the Department of Urology
Russian Federation, SamaraTatyana A. Gavrilova
Sanatorium-Resort "Privolzhsky"
Email: gavrilovata@svolga.ru
ORCID iD: 0000-0002-3677-2219
methodologist
Russian Federation, SamaraReferences
- Yanenko EK, Merinov DS, Konstantinova OV, et al. Current trends in epidemiology, diagnosis and treatment of urolithiasis. Experimental and clinical urology. 2012;3;19-24. (In Russ.). [Яненко Э.К., Меринов Д.С., Константинова О.В., и др. Современные тенденции в эпидемиологии, диагностике и лечении мочекаменной болезни. Экспериментальная и клиническая урология. 2012;3;19-24].
- Miclăuş, Matusz PGD. Bilateral triple renal arteries. Romanian Journal of Morphology and Embryology. 2015;56(4):1507-1511. PMID: 26743301
- Galkina NG, Kalinina EA, Galkin AV. Urolithiasis: modern concepts of etiology of disease (review). Saratov Scientific Medical Journal. 2020;3:773-779. (In Russ.). [Галкина Н.Г., Калинина Е.А., Галкин А.В. Мочекаменная болезнь: современные представления об этиологии (обзор). Саратовский научно-медицинский журнал. 2020;3:773-779.
- Kaprin AD, Apolikhin OI, Sivkov AV, et al. The incidence of urolithiasis in the Russian Federation from 2005 to 2020. Experimental and clinical urology. 2022;15(2):10-17. (In Russ.). [Каприн А.Д., Аполихин О.И., Сивков А.В., и др. Заболеваемость мочекаменной болезнью в Российской Федерации с 2005 по 2020 гг. Экспериментальная и клиническая урология. 2022;15(2):10-17]. doi: 10.29188/2222-8543-2022-15-2-10-17
- Desai M, De Lisa A, Turna B, et al. The clinical research office of the endourological society percutaneous nephrolithotomy global study: staghorn versus nonstaghorn stones. Journal of Endourology. 2011;25(8):1263-1268. doi: 10.1089/end.2011.0055
- Gao X, Fang Z, Lu Ch, et al. Management of staghorn stones in special situations. Asian Journal of Urology. 2020;7(2):130-138. doi: 10.1016/j.ajur.2019.12.014
- Atduev VA, Abramov DV, Dyrdik MB, et al. Percutaneous nephrolitholapaxy performed under ultrasound and endovisual guidance: evaluation of the factors affecting the immediate outcomes. Urology Herald. 2022;10(2):5-18. (In Russ.). [Атдуев В.А., Абрамов Д.В., Дырдик М.Б., и др. Анализ факторов, влияющих на непосредственные результаты перкутанной нефролитолапаксии, выполняемой под ультразвуковым и эндовизуальным контролем. Вестник урологии. 2022;10(2):5-18]. doi: 10.21886/2308-6424-2022-10-2-05-18
- Kargı T, Ekşi M, Karadağ S. Optimal patient position for percutaneous nephrolithotomy in horseshoe kidneys: Traditional prone or supine? Actas Urológicas Españolas (English Edition). 2022;46(9):565-571. doi: 10.1016/j.acuroe.2022.03.008
- Trusov PV, Kogan MI, Khvan VK. The efficacy and safety of mini-percutaneous nephrolithotripsy in the treatment of large and staghorn stones of the kidney. Urology Herald. 2017;5(1):32-36. (In Russ.). [Трусов П.В., Коган М.И., Хван В.К. Эффективность и безопасность мини-перкутанной нефролитотрипсии в лечении крупных и коралловидных камней почек. Вестник урологии. 2017;5(1):32-36]. doi: 10.21886/2306-6424-2017-5-1-32-36
- Zeng G, Zhong W, Mazzon G, et al. International Alliance of Urolithiasis (IAU) guideline on percutaneous nephrolithotomy. Minerva Urologica e Nefrologica. 2022;74(6):653-668. doi: 10.23736/S2724-6051.22.04752-8
- Zeng G, Zhong W, Pearle M. European Association of Urology Section of Urolithiasis and International Alliance of Urolithiasis joint consensus on percutaneous nephrolithotomy. European Urology Focus. 2022;8(2):588-597. doi: 10.1016/j.euf.2021.03.008
- Michel MS, Trojan L, Rassweiler JJ. Complications in percutaneous nephrolithotomy. Eur Urol. 2007;51:899-906.
- De la Rosette JJ, Zuazu JR, Tsakiris P, et al. Prognostic factors and percutaneous nephrolithotomy morbidity: a multivariate analysis of a contemporary series using the Clavien classification. Urology. 2008;180:2489-2493.
- Skolarikos A, de la Rosette JJ. Prevention and treatment of complications following percutaneous nephrolithotomy. Current Opinion in Urology. 2008;18:229-234.
- Zanetti S, Boeri A, Gallioli L, et al. Minimally invasive PCNL-MIP. Archivos Españoles de Urología. 2017;70(1):226-234.
- Badran YA, Abdelaziz AS, Shehab MA, et al. Is scoring system of computed tomography based metric parameters can accurately predicts shock wave lithotripsy stone-free rates and aid in the development of treatment strategies? Urology Annals. 2016;8:197-202.
- Zhong W, Sarica K. Anatomy for PNL. In: Percutaneous Nephrolithotomy. 2020:13-21. doi: 10.1007/978-981-15-0575-1_2
- Han W, Ge J, Xu X. Comparison of the efficacy and complications of soft ureteroscopy lithotripsy and percutaneous nephrolithotomy in the treatment of urinary calculi: a systematic review and meta-analysis. Computational and Mathematical Methods in Medicine. 2022Jul 1;2022:5829205. doi: 10.1155/2022/5829205
- Krylov AA, Allahverdov VM, Bogdanova SI, et al. Age periods of human development. In: Psychology. M., 2000:201-218. (In Russ.). [Крылов А.А., Аллахвердов В.М., Богданова С.И., и др. Возрастные периоды развития человека. В кн.: Психология. М., 2000:201-218].
- Kukreja R, Desai M, Patel S, et al. Factors affecting blood loss during percutaneous nephrolithotomy: prospective study. Journal of Endourology. 2004;18:715-22. doi: 10.1089/end.2004.18.715
- Seregin IV, Seregin AA, Filimonov EV. Ultramini-percutaneous nephrolithotripsy and retrograde intrarenal surgery in the treatment of kidney stones less than 2 cm: comparative results of efficacy and safety. Creative surgery and oncology. 2022;12(2):98-105. (In Russ.). [Серегин И.В., Серегин А.А., Филимонов Е.В. Ультрамини-перкутанная нефролитотрипсия и ретроградная интраренальная хирургия при лечении камней почек менее 2 см: сравнительные результаты эффективности и безопасности. Креативная хирургия и онкология. 2022;12(2):98-105]. doi: 10.24060/2076-3093-2022-12-2-98-105
- Zhou X, Gao X, Wen J, et al. Clinical value of minimally invasive percutaneous nephrolithotomy in the supine position under the guidance of real time ultrasound: report of 92 cases. Urological Research. 2008;36 (2):111-114. doi: 10.1007/s00240-008-0134-8
Supplementary files







