Assessment of tooth and dental arch position relative to the coordinate parameter in individuals with distal occlusion
- Authors: Kaplan D.B.1, Persin L.S.1, Porokhin A.Y.1
-
Affiliations:
- Russian University of Medicine
- Issue: Vol 25, No 1 (2025)
- Pages: 63-68
- Section: DENTISTRY
- Published: 13.04.2025
- URL: https://aspvestnik.ru/2410-3764/article/view/649334
- DOI: https://doi.org/10.35693/AVP649334
- ID: 649334
Cite item
Full Text
Abstract
Aim – to develop and justify a new method for diagnosing the position of teeth and dental arches, as well as to determine their deviations from normal values among individuals with distal occlusion relative to the coordinate parameter LP.
Material and methods. In this study, 25 patients aged 12–40 years with distal occlusion were examined. Volunteers who refused to participate in the study or complete all necessary diagnostic examinations for any reason were excluded from the initial group. Additionally, individuals with contraindications identified during the examination, including pregnant and nursing women, were also excluded. Various methods were used to assess the position of teeth and dental arches, including clinical photography, scanning of dental arches followed by the creation of STL files, and obtaining lateral cephalometric radiographs. An analysis of the relationships between the LP point and molars, canines, incisors, as well as points Mv and Mn for both the upper and lower dental arches was conducted in patients with distal occlusion, providing deeper insights into the anatomical features and their impact on occlusal relationships.
Results. In patients with distal occlusion, anthropometric parameters characterizing the position of teeth and dental arches in both the upper and lower jaws were examined. It was found that in 59.5% of patients, the distance from the LP point to Mv corresponds to the proper positioning of the upper dental arch, while in 40.5% of patients, this distance is increased by 5.1%, indicating maxillary prognathism. The distance from LP to Mn is within the normal range for 61.9% of patients, while 38.1% exhibit values below normal by an average of 2.3%, suggesting mandibular retrognathism. Moreover, the distance from the coordinate parameter to the point corresponding to the upper central incisors exceeds the normal range by 3.3% in 78.6% of patients, indicating protrusion of the upper incisors, while the distance to the lower central incisors is below normal by 2.3% in 38.1% of patients, indicating retrusion of the lower incisors.
Conclusions. The findings of this study demonstrate significant deviations in anthropometric parameters and the positioning of teeth and dental arches relative to the LP coordinate point in patients with distal occlusion. The practical application of this research can enhance orthodontic diagnostics for distal occlusion and other anomalies of the dentofacial system, ultimately improving treatment selection and the effectiveness of orthodontic care.
Full Text
Список сокращений
STL – standard template library (стандартная библиотека шаблонов); ДОЗР – дистальная окклюзия зубных рядов; ТРГ – телерентгенограмма; ЗЧС – зубочелюстная система.
ВВЕДЕНИЕ
Согласно данным многочисленных исследований, более чем у 70% детей и около 30% взрослых есть аномалии положения зубов, зубных рядов, челюстей, приводящие к неправильной окклюзии [1–3]. Эти изменения оказывают негативное влияние на функциональное состояние всей зубочелюстной системы (ЗЧС), поэтому требуют более тщательного подхода к проводимой диагностике. Комплексная диагностика позволяет установить более точный диагноз, а также более эффективно спланировать дальнейшее ортодонтическое лечение.
В настоящее время наиболее распространенными методами диагностики ортодонтического пациента являются кефалометрическое и антропометрическое исследования, клиническое фотографирование, лучевое и функциональное обследования [4–7]. Благодаря компьютерным технологиям врачи-ортодонты для установки окончательного диагноза могут собирать достаточное количество данных и проводить их сопоставление с нормальными значениями [8–11].
Одной из наиболее распространенных аномалий ЗЧС является дистальная окклюзия зубных рядов (ДОЗР). Многие авторы исследовали оценку эстетики лица с учетом угловых и линейных параметров с целью улучшения эстетических показателей по окончании лечения [12, 13]. В научных исследованиях, касающихся анатомических особенностей черепа у пациентов с ДОЗР, недостаточно внимания уделяется интенсивности возрастных изменений, а также связи между нарушениями размеров и положением челюстных костей и мягких тканей лица [14, 15]. Также недостаточно изучено влияние функционального состояния мышц челюстно-лицевой области при ДОЗР на размеры челюстей, положение зубов, зубных рядов [16, 17]. Эти аспекты требуют более глубокого анализа для понимания механизмов, лежащих в основе ДОЗР, а также ее причин.
ЦЕЛЬ
Создание и обоснование нового способа диагностики положения зубов и зубных рядов, а также определения их отклонений от нормальных значений среди лиц с дистальной окклюзией относительно координатного параметра LP.
МАТЕРИАЛ И МЕТОДЫ
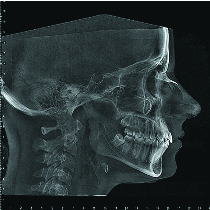
Было обследовано 25 пациентов (возраст от 12 до 40 лет) с дистальной окклюзией. Обследование проводилось согласно протоколу, который включен в «Историю болезни ортодонтического больного», разработанную на кафедре ортодонтии ФГБОУ ВО «Российский университет медицины» и утвержденную приказом Минздрава России №834. После осмотра участники исследования прошли телерентгенографию (ТРГ) головы в боковой проекции (рисунок 1).
Рисунок 1. ТРГ головы в боковой проекции.
Figure 1. Lateral cephalometric radiograph of the head.
Затем были сняты слепки альгинатной массой для дальнейшего изготовления диагностических гипсовых моделей с их последующим сканированием (рисунок 2).
Рисунок 2. Сканирование гипсовых моделей.
Figure 2. Scanning of plaster models.
Это позволило получить STL-файлы (рисунок 3) для последующей загрузки в разработанную нами компьютерную программу для оценки положения зубов, зубных рядов, окклюзии.
Рисунок 3. STL файлы верхнего и нижнего зубного ряда.
Figure 3. STL files of the upper and lower dental arches.
Нами был предложен новый подход для оценки положения зубов, зубных рядов, окклюзии относительно координатного параметра LP. Этот параметр определяется при пересечении линии N–Po, проходящей через точку N, расположенную на передне-верхнем крае носолобного шва, и точку Po, расположенную на вершине наружного слухового прохода, и окклюзионной линии, проходящей через срединную контактную точку на режущих краях центральных резцов и точку в области дистально-щечных бугров первых моляров (рисунок 4).
Рисунок 4. Определение координатного параметра LP.
Figure 4. Definition of the coordinate parameter LP.
Относительно точки LP проводится оценка положения первых моляров, клыков, резцов как верхнего, так и нижнего зубного ряда (рисунок 5).
Рисунок 5. Определение расстояний верхнего и нижнего зубного ряда от точки LP.
Figure 5. Determination of the distances of the upper and lower dental arches from the LP point.
Перед проведением данного анализа также измерялась сумма мезиодистальных размеров четырех резцов верхней челюсти. Такой метод оценки обеспечивает более глубокий анализ положения зубов, зубных рядов, а также их отклонений от нормальных значений, что в свою очередь повышает точность диагностики и улучшает планирование ортодонтического лечения.
РЕЗУЛЬТАТЫ И ИХ ОБСУЖДЕНИЕ
Установлено, что расстояние между LP и Mв, характеризующее положение верхнего зубного ряда, находится в корреляционной зависимости от угла LP. Данные представлены в таблице 1.
Таблица 1 / Table 1
Расстояние между LP и Мв в зависимости от значения угла LP
The distance between LP and Mv depending on the value of the LP angle
Угол LP (°) | Расстояние (в мм) от точки LP до Мв |
15° | 254 |
16° | 245 |
17° | 236 |
18° | 228 |
19° | 220 |
20° | 211 |
21° | 203 |
22° | 194 |
23° | 186 |
24° | 177 |
25° | 168 |
26° | 160 |
27° | 151 |
28° | 143 |
Расстояние между LP и Мв изменяется в зависимости от величины угла LP. Эта взаимосвязь подчеркивает, как изменения в угле могут влиять на пространственное расположение этих точек, и характеризуется сокращением расстояния по мере увеличения угла LP, что свидетельствует о ротации верхней челюсти по часовой стрелке.
Также было установлено, что расстояние от точки LP до точки Мн позволяет оценить положение нижнего зубного ряда. Мезиальное положение нижнего зубного ряда возникает при увеличении этого расстояния, а дистальное положение – при уменьшении его значения.
У пациентов с дистальной окклюзией было проведено комплексное исследование антропометрических параметров и положения зубов и зубных рядов относительно координатной точки LP. Анализ результатов показал, что у 59,5% обследованных расстояние от точки LP до точки Mв находится в пределах нормы, что указывает на правильное расположение верхнего зубного ряда. В то же время у 40,5% пациентов это расстояние увеличено на 5,1%, что свидетельствует о прогнатии верхней челюсти. Что касается расстояния между LP и первыми молярами, средние значения составляют 90,5% (расстояние от точки LP до первого моляра слева) и 83,3% (расстояние от точки LP до первого моляра справа), что в итоге дает 5,6% отклонения от нормы, при этом нормальные значения были зафиксированы лишь у 9,5% (расстояние от точки LP до первого моляра слева) и 16,7% (расстояние от точки LP до первого моляра справа) пациентов. Расстояние от точки LP до бугров клыков соответствует норме у 11,9% (расстояние от точки LP до клыка справа) и 14,3% (расстояние от точки LP до первого моляра слева) обследованных. У 85,7% (расстояние от точки LP до первого моляра слева) и 88,1% (расстояние от точки LP до первого моляра справа) пациентов это расстояние уменьшено в среднем на 5,1%, что указывает на дистальное положение клыков. Что касается центральных резцов верхней челюсти, то у 21,4% пациентов расстояние от LP до них соответствует норме, в то время как у 78,6% оно превышает норму в среднем на 3,3%, что говорит о протрузии. Расстояние от точки LP до точки Мн, характеризующей положение нижнего зубного ряда, находится в пределах нормы у 61,9% пациентов, в то время как у 38,1% оно ниже нормы на 2,3%. Расстояние от точки LP до первых моляров варьирует от 45,2% (расстояние от точки LP до первого моляра слева) до 47,6% (расстояние от точки LP до первого моляра справа), при этом 54,8% (расстояние от точки LP до первого моляра слева) и 52,4% (расстояние от точки LP до первого моляра справа) имеют дистальное положение, отклонение в среднем на 4,7%.
В качестве примера приводится протокол диагностики положения зубов и зубных рядов относительно координатной точки LP (рисунок 6).
Верхняя челюсть | ||||
Параметр | Факт | Норма | Отклонение, мм | Отклонение. % |
6|-|б | 54,5 | 57,2 | -2,7 | -4,7 |
LP-Mв | 223,2 | 208,3 | 14,9 | 7,2 |
LP-6| | 223,2 | 214 | 9,2 | 4,3 |
LP-|6 | 226,6 | 214 | 12,6 | 5,9 |
LP-3| | 243,9 | 236 | 7,9 | 3,3 |
LP-|3 | 246,4 | 236 | 10,4 | 4,4 |
LP-Hc | 240,9 | 229,5 | 11,4 | 5,0 |
LP-I | 251,1 | 241,2 | 9,9 | 4,1 |
Нижняя челюсть | ||||
Параметр | Фаст | Норма | Отклонение, мм | Отклонение. % |
6|-|6 | 48,7 | 57,2 | - 8.5 | -14.9 |
LP-Мн | 218,4 | 208 | 10,4 | 5,0 |
LP-6| | 219,2 | 214 | 5,2 | 2,4 |
LP-|6 | 220,4 | 214 | 6,4 | 3,0 |
LP-3| | 241,2 | 236 | 5,2 | 2,2 |
LP-|3 | 241,4 | 236 | 5,4 | 2,3 |
LP-I | 247,3 | 248 | - 0,7 | -0.3 |
Рисунок 6. Протокол оценки положения зубов и зубных рядов относительно точки LP с использованием компьютерной программы при сумме 4 резцов верхней челюсти 29,0 мм.
Figure 6. Protocol for assessing the position of teeth and dental arches relative to LP point using computer software. The sum of the four upper incisors is 29,0 mm.
Клинический пример.
Пациент В., дата рождения 31.03.1995 г.
Расстояние от точки LP до Мв составляет 223,2 мм, что на 7,2% превышает нормальные значения. В то же время расстояние LP–Мн, определяющее положение нижнего зубного ряда, равно 218,4 мм, что на 5% меньше нормы и указывает на дистальное положение нижней челюсти. При сравнении расстояний от точки LP до первого моляра верхнего зубного ряда отмечается значение 223,2 мм, что больше, чем аналогичный показатель для нижнего зубного ряда, который составляет 219,2–220,4 мм. Расстояния от точки LP до клыков верхнего зубного ряда колеблется от 243,9 до 246,4 мм, что значительно превышает соответствующий показатель для нижнего зубного ряда (241,2–241,4 мм). Расстояние от точки LP до центральных резцов верхнего зубного ряда составляет 251,1 мм, тогда как у нижнего зубного ряда этот параметр равен 247,3 мм, что также указывает на дистальную окклюзию и наличие сагиттальной щели между резцами. Ширина верхнего зубного ряда в области моляров составляет 64,5 мм, в то время как нижний зубной ряд имеет ширину 48,7 мм, что подтверждает сужение обеих челюстей. Расстояние от точки LP до точки моляров верхнего зубного ряда варьирует от 223,2–226,6 мм, что значительно больше, чем аналогичный показатель нижнего зубного ряда, который составляет 219,2–220,4 мм. То же можно сказать о расстоянии от точки LP до клыков: верхний зубной ряд имеет значения от 240,9 до 246,4 мм, а нижний зубной ряд – от 242,2 до 241,4 мм. Полученные данные подтверждают дистальную окклюзию зубных рядов, обусловленную прогнатией верхней челюсти и ретрогнатией нижней челюсти, а также сужение как верхнего, так и нижнего зубных рядов.
ВЫВОДЫ
В ходе исследования были установлены значительные отклонения в антропометрических параметрах и положении зубов и зубных рядов относительно координатной точки LP. Результаты анализа показали, что у 59,5% обследованных расстояние от LP до точки Mв соответствует нормальным значениям, что указывает на нормальное положение верхнего зубного ряда. Однако у 40,5% пациентов это расстояние превышает норму на 5,1%, что может свидетельствовать о наличии верхней прогнатии. Анализ расстояний до первых моляров выявил, что у пациентов с дистальной окклюзией нормальные значения фиксируются в диапазоне от 9,5% до 16,7%, что подчеркивает необходимость более тщательного подхода к диагностике. Относительно центральных резцов верхней челюсти у 21,4% пациентов расстояние от LP соответствует норме, в то время как у 78,6% оно превышает норму на 3,3%, что свидетельствует о протрузии резцов.
Таким образом, результаты проведенного исследования подтверждают важность комплексного подхода к диагностике аномалий ЗЧС с акцентом на использование координатной точки LP, что позволяет более точно оценивать отклонения от нормальных значений. Необходимы дальнейшие исследования, направленные на изучение возрастных изменений и функционального состояния мышц челюстно-лицевой области, что поможет в разработке более эффективных методов лечения дистальной окклюзии и других аномалий.
ДОПОЛНИТЕЛЬНАЯ ИНФОРМАЦИЯ
Источник финансирования. Работа выполнена по инициативе авторов без привлечения финансирования.
Конфликт интересов. Авторы декларируют отсутствие явных и потенциальных конфликтов интересов, связанных с содержанием настоящей статьи.
Участие авторов.
Персин Л.С. – концепция исследования, редактирование статьи. Каплан Д.Б., Порохин А.Ю. – дизайн исследования, написание текста.
Все авторы одобрили финальную версию статьи перед публикацией, выразили согласие нести ответственность за все аспекты работы, подразумевающую надлежащее изучение и решение вопросов, связанных с точностью или добросовестностью любой части работы.
Конфликт интересов: не заявлен.
ADDITIONAL INFORMATION
Study funding. The study was the authors’ initiative without external funding.
Conflict of interest. The authors declare that there are no obvious or potential conflicts of interest associated with the content of this article.
Contribution of individual authors.
Persin L.S.: research concept, article editing. Kaplan D.B., Porokhin A.Yu.: research design, writing of the text.
The authors gave their final approval of the manuscript for submission, and agreed to be accountable for all aspects of the work, implying proper study and resolution of issues related to the accuracy or integrity of any part of the work.
Conflict of interest: nothing to disclose.
About the authors
Daniil B. Kaplan
Russian University of Medicine
Author for correspondence.
Email: daniil-kaplan@mail.ru
ORCID iD: 0009-0003-0760-355X
MD, Cand. Sci. (Medicine), Associate Professor of the Department of Orthodontics
Russian Federation, MoscowLeonid S. Persin
Russian University of Medicine
Email: leonidpersin@yandex.ru
ORCID iD: 0000-0001-9971-5054
MD, Dr. Sci. (Medicine), Professor of the Department of Orthodontics
Russian Federation, MoscowAndrei Yu. Porokhin
Russian University of Medicine
Email: a6804942@yandex.ru
ORCID iD: 0000-0003-0018-0809
MD, Cand. Sci. (Medicine), Associate Professor of the Department of Orthodontics
Russian Federation, MoscowReferences
- Kudryavtseva OA, Kudryavtseva TD, Gadzhiev IG, et al. Diagnostic significance of the Eshler-Bitner test and facial aesthetics assessment in patients with distal occlusion (Part II). Institute of Dentistry. 2020;1(86):82-83. (In Russ.). [Кудрявцева О.А., Кудрявцева Т.Д., Гаджиев И.Г., и др. Диагностическое значение пробы Эшлера – Битнера и оценки эстетики лица у пациентов с дистальной окклюзией (Часть II). Институт стоматологии. 2020;1(86):82-83]. URL: https://instom.spb.ru/catalog/article/15391/
- Sorokina MS, Sviridov EG, Drobyshev AYu. Features of the Structure of the Dentofacial System in Patients with Different Types of Gnathic Forms of Distal Occlusion. Russian Dentistry. 2023;16(4):58-59. (In Russ.). [Сорокина М.С., Свиридов Е.Г., Дробышев А.Ю. Особенности строения зубочелюстной системы пациентов с различными типами гнатических форм дистальной окклюзии. Российская стоматология. 2023;16(4):58-59]. URL: https://instom.spb.ru/catalog/article/18089/
- Ghodasra R, Brizuela M. Orthodontics, Malocclusion. Treasure Island (FL): StatPearls Publishing; 2024. URL: https://pubmed.ncbi.nlm.nih.gov/37276298/
- Yaremenko AI, Karpishchenko SA, Hatskevich HA. Assessment of upper airways using radiological diagnostic methods in chronic respiratory failure. Dental Magazine. 2017:6-12. (In Russ.). [Яременко А.И., Карпищенко С.А., Хацкевич Г.А., и др. Оценка верхних дыхательных путей лучевыми методами диагностики при хронической дыхательной недостаточности. Dental Magazine. 2017:6-12]. URL: https://dentalmagazine.ru/posts/ocenka-verxnix-dyxatelnyx-putej-luchevymi-metodami-diagnostiki-pri-xronicheskoj-dyxatelnoj-nedostatochnosti-chast-1-ya.html
- Cousley RR. Introducing 3D printing in your orthodontic practice. J Orthod. 2020;47(3):265-272. doi: 10.1177/1465312520936704
- Cunha TMAD, Barbosa IDS, Palma KK. Orthodontic digital workflow: devices and clinical applications. Dental Press J Orthod. 2021;26(6):e21spe6. doi: 10.1590/2177-6709.26.6.e21spe6
- Jedliński M, Mazur M, Grocholewicz K, et al. 3D scanners in orthodontics – current knowledge and future perspectives: a systematic review. Int J Environ Res Public Health. 2021;18(3):1121. doi: 10.3390/ijerph18031121
- Tekucheva SV, Oborotistov NYu, Porokhin AYu. Digital Technologies in Orthodontics: Ortho3D Software Suite. Orthodontics. 2018;2(82):12-26. (In Russ.). [Текучева С.В., Оборотистов Н.Ю., Порохин А.Ю. Цифровые технологии в ортодонтии: программный комплекс Ortho3D. Ортодонтия. 2018;2(82):12-26].
- Lyu L, Zhang MJ, Wen AN, et al. 3D facial mask for facial asymmetry diagnosis. Heliyon. 2024;10(5):e26734. doi: 10.1016/j.heliyon.2024.e26734
- Mohammed Alassiry A. Clinical aspects of digital three-dimensional intraoral scanning in orthodontics – A systematic review. Saudi Dent J. 2023;35(5):437-442. doi: 10.1016/j.sdentj.2023.04.004
- Francisco I, Ribeiro MP, Marques F, et al. Application of three-dimensional digital technology in orthodontics: the state of the art. Biomimetics (Basel). 2022;7(1):23. doi: 10.3390/biomimetics7010023
- Derwich M, Minch L, Pawlowska E, et al. Personalized orthodontics: from the sagittal position of lower incisors to the facial profile esthetics. J Pers Med. 2021;11(8):692. doi: 10.3390/jpm11080692
- Esmaeili S, Eslamian L, Motamedian SR, et al. Evaluation of facial profile characteristics of aesthetically pleasing Iranian faces. J World Fed Orthod. 2023;12(2):76-89. doi: 10.1016/j.ejwf.2023.02.001
- Pawar RO, Mane DR, Patil CD, et al. To check the reliability of various cephalometric parameters used for predicting the type of malocclusions and growth patterns. J Pharm Bioallied Sci. 2022;14(1):S808-S811. doi: 10.4103/jpbs.jpbs_6_22
- Silinevica S, Lokmane K, Vuollo V, et al. The association between dental and facial symmetry in adolescents. Am J Orthod Dentofacial Orthop. 2023;164(3):340-350. doi: 10.1016/j.ajodo.2023.01.015
- Zhao Z, Wang Q, Li J, et al. Construction of a novel digital method for quantitative analysis of occlusal contact and force. Oral Health. 2023;190. doi: 10.1186/s12903-023-02899-y
- Ghodsi S, Sef Omrani S, Mogharrabi S, et al. Evaluating the relation of posterior occlusal plane to ala-tragal line according to age and sex. Folia Med (Plovdiv). 2022;64(5):787-792. doi: 10.3897/folmed.64.e68631
Supplementary files








